【Kiratt 高岡店】もう口元を隠さない。ホワイトニングで手に入れた「最高の笑顔」と自信
M様/50代/会社役員
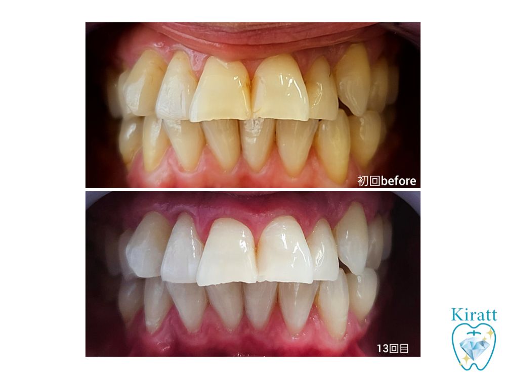
| ホワイトニング | 来店経歴 | 施術メニュー |
|---|---|---|
| オフィスホワイトニングあり | 6カ月 | クリスタル |
| コーヒー | タバコ | 結果 |
| 1日2~3杯 | 吸わない | S28→S6 |

Q1.ホワイトニングを始めようと思ったきっかけは何ですか?
何気なく、ふっと鏡を見た瞬間でした。「あれ、自分の歯ってこんなに黄色かったかな…?」と、一度気になり始めると、それまで当たり前だった自分の笑顔に自信が持てなくなってしまったんです。
人と話すときも、つい口元を隠してしまったり、思い切り笑うのをためらってしまったり…。
そんな自分に寂しさを感じ、「もう一度、心から笑える自分になりたい!」と強く思ったことがホワイトニングを始める大きなきっかけでした。
Q2.ホワイトニングを始める上で、何か不安なことはありましたか?
以前、歯科医院でホワイトニングを経験したことがあったので、白くなる喜びは知っていました。
ただ、その時に感じたのは「この白さをずっとキープするのは、金銭的にも時間的にも大変そうだな」ということだったんです。
今回、改めてホワイトニングを検討するにあたって、やはり一番の不安は「無理なく続けられる価格設定かどうか」と「生活の中に自然に取り入れられる継続しやすさ」でした。
一時的な白さではなく、一生モノの自信にしたかったからこそ、自分のペースで通い続けられる環境を求めていました。
Q3.当店(キラット)を選ばれた理由はありますか?
以前から「続けやすさ」を重視して探していましたが、Kiratt羽村店はまさに私の理想にぴったりでした。
まず、職場から近く仕事帰りにも立ち寄りやすい立地であること。
そして、自分のスケジュールに合わせて予約がスムーズに取れることが大きな決め手になりました。
さらに、歯科医院のような緊張感ではなく、サロンならではの「気軽にホワイトニングができる雰囲気」も魅力でした。
ライフスタイルの中に無理なく組み込める条件が揃っていたので、「ここなら理想の白さをずっとキープしていける!」と確信して選ばせていただきました。
Q4.実際に歯が白くなって、どのような生活の変化がありましたか?
ホワイトニングを始めて一番の変化は、人前で話をしたり、笑ったりすることへの抵抗が全くなくなったことです。
以前は無意識のうちに手で口元を隠したり、伏せ目がちになったりしていましたが、今は自分でも驚くほど自然に、大きな笑顔で会話を楽しめるようになりました。
歯の白さが手に入ったことで、「自分は大丈夫」という確かな自信が持てるようになり、人との交流が以前よりもずっと楽しく、積極的になれた気がします。
鏡を見るたびにガッカリしていたあの頃の自分に、「一歩踏み出してよかったね」と伝えてあげたいくらい、毎日の充実度が変わりました!

「歯の白さを通して、人前で話したり笑ったりすることに自信が持てるようになった」というお言葉、私たちスタッフにとってこれ以上ないほど嬉しい励みになります!
M様が日々楽しみながらケアに取り組んでくださったからこそ、周りまで明るくするような今の素敵な笑顔があるのだと感じています。
これからもM様が、毎日をさらにポジティブに、最高の笑顔で過ごせるよう、精一杯お手伝いさせていただきます。
今後とも、Kiratt 高岡店をどうぞよろしくお願いいたします!