【Kiratt 沖縄店】白い歯が当たり前に!沖縄のホワイトニングサロンで清潔感を実感
O様/40代/自営業
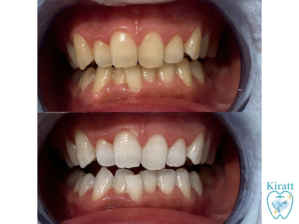
| ホワイトニング | 来店経歴 | 施術メニュー |
|---|---|---|
| Kirattが初めて | 2年 | クリスタルホワイトニング |
| コーヒー | タバコ | 結果 |
| 1杯 / 1日 | 吸わない | S26 → S6 |

Q1.ホワイトニングを始めようと思ったきっかけは何ですか?
以前から歯の黄ばみがずっと気になっていて、なんとか自分でケアできないかと色々と試してきました。
毎日の歯磨きはもちろん、重曹入りの歯磨き粉など話題のセルフケア方法もいろいろ試してみたのですが、残念ながら思うように歯は白くならず…。「市販のグッズでは限界があるんだな」と感じていました。
そこで「もっと確実に歯を白くしたい!」という思いが強くなり、沖縄で人気のホワイトニング専門店、Kiratt沖縄店に相談してみることに決めました。
実際に伺ってみると、専門スタッフさんの丁寧な説明や、通われているお客様のBefore/Afterの写真を見せていただけて、「ここなら自分も理想の白さを手に入れられる」と直感しました!
Q2.ホワイトニングを始める上で、何か不安なことはありましたか?
ホワイトニングを始めるにあたって不安だったのは、「本当に痛みが出ないのか」「歯がしっかり白くなるのか」という2点です。
ネットなどで「しみた」という話を目にしたこともあって、初めての施術に対して漠然とした不安を抱えていました。
でもKirattさんでは、スタッフさんが施術の内容や仕組みを一つひとつ丁寧に説明してくださったので、「これなら安心して通える」と感じ、不安がだんだんと解消されていきました。
Q3.当店(キラット)を選ばれた理由はありますか?
カウンセリングの時点から、スタッフの方々がとても気さくで、初めての私にもホワイトニングの仕組みや効果を分かりやすく説明してくださったのが本当に印象的でした。
また、自分がずっと抱えていた歯の黄ばみの悩みや、セルフケアで上手くいかなかった話もしっかり相談することができ、具体的なアドバイスまでいただけたんです。
そして何より、実際に効果をリアルに実感できたことが決定打でした。「ここなら信頼して通える」と心から思えて、Kiratt沖縄店でホワイトニングを始めることを決意しました!
Q4.実際に歯が白くなって、どのような生活の変化がありましたか?
通い続けて嬉しかったのは、やはり長年ずっと悩んでいた歯の黄ばみの悩みが解消されたことです。
鏡を見るのが楽しくなり、気持ちが自然と明るくなってきました。以前はつい目をそらしていた自分の笑顔も、今では自信を持って見られるようになっています。
さらに、白い歯をキープしていくこと、そしてKiratt沖縄店へ定期的に通うこと自体が、私の日常のマイルーティンとして欠かせない習慣になりました♪「次は来月ここに通う」というリズムが日常の中に組み込まれていて、通院が楽しみのひとつになっています。
沖縄でKirattさんに出会えて、本当に良かったです。

O様、気づけば約2年間、毎月欠かさずKirattへ通っていただき、本当にありがとうございます!
セルフケアで色々と試されてもなかなか白くならずお悩みだったO様が、当店でしっかり効果を実感していただき、「マイルーティン」と呼んでいただけるほどの習慣にしていただけていること、スタッフ一同、本当に嬉しく思っております♪
これからもO様の清潔感あふれる白い歯をしっかりキープできるよう、長く寄り添わせていただきます!