【Kiratt 沖縄店】40代に人気!沖縄で始めるホワイトニングで清潔感UP&若々しい笑顔へ
F様/40代/自営業
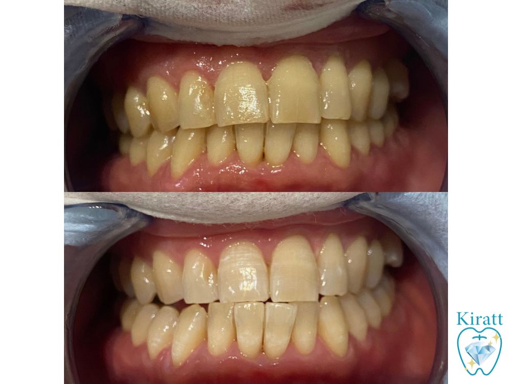
| ホワイトニング | 来店経歴 | 施術メニュー |
|---|---|---|
| Kirattが初めて | 6ヶ月 | クリスタルホワイトニング |
| コーヒー | タバコ | 結果 |
| 1日2杯以上 | 吸わない | S32 → S6 |

Q1.ホワイトニングを始めようと思ったきっかけは何ですか?
40代になり、周囲から「同世代の口臭や歯の黄ばみが気になってきた」という話を耳にすることが増えてきました。
その話を聞いているうちに、年齢を重ねるごとに口元の清潔感はより大切になると強く感じるようになったんです。
改めて鏡で自分の歯をチェックしてみると、少しずつ黄ばみが気になってきていて…。「今のうちにしっかりケアしておきたい」と思い、40代からのエイジングケアのひとつとしてホワイトニングを始めることを決意しました!
Q2.ホワイトニングを始める上で、何か不安なことはありましたか?
人生で初めてのホワイトニングだったので、正直なところ仕組みも効果もまったくわかっておらず、「本当に白くなるのかな?」という疑問はずっと頭の中にありました。
施術がどのように進むのか、どれくらいのスピードで変化が出るのか、想像もつかない状態だったので、“初めてだからこその不安”があったのは正直な気持ちです。
それでも、沖縄でホワイトニングサロンを色々と探していく中で、「まずは一歩踏み出してみよう」と心を決めて来店しました。
Q3.当店(キラット)を選ばれた理由はありますか?
来店して初回の施術を受けた時点で、すでに目に見える効果があり、「こんなに変わるものなんだ!」と素直に驚きました。
さらに、これまで実際に通われたお客様のBefore→Afterの事例や、どれくらい通えば白さが定着するのかを丁寧に説明していただけたので、施術後の変化のイメージまで具体的に描けるようになりました。
「自分も続ければ、確実に白くなれる」と確信できた瞬間から、一気に期待感が高まり、沖縄でのホワイトニングは「ここに通おう」と決めました!初回の効果と、信頼感のある説明、その両方が決め手です。
Q4.実際に歯が白くなって、どのような生活の変化がありましたか?
私にとっての一番の感動は、コーヒーを楽しみながら白さをキープできたことです。
コーヒーは1日2杯以上飲むほど好きで、私にとっては大切なリラックスタイム。「好きなものを我慢しないとホワイトニングは続けられないのかな…」と最初は不安を感じていました。
ところが実際に通い始めてみると、生活スタイルを無理に変えることなく、今まで通りコーヒーを楽しみながら白さをしっかりキープできているんです。これには本当に驚きました。
白さが定着してきてからは、鏡を見るたびに気分が上がり、「今日も頑張ろう」と日々のモチベーションにも繋がっています。
沖縄で自分にぴったりのホワイトニングサロンに出会えて、本当に良かったです♪

F様、初回に掲げていらした「6トーンまで歯を白くする!」という明確な目標に向けて、お忙しい中でもしっかり通い続けていただき、本当にありがとうございます。
通うたびに少しずつ白さが増していき、ご自身でも変化をしっかり実感していただけたこと、スタッフ一同とても嬉しく思っております。
現在は毎月1回のメンテナンスにも欠かさずご来店くださっていて、白さが安定して保たれているのがしっかり分かります。その継続の積み重ねが、今の美しい白さに繋がっていますね。本当に素晴らしいです!
これからもF様の理想の白さをキープできるよう、しっかりとサポートさせていただきますので、今後ともどうぞよろしくお願いいたします。