【Kiratt 沖縄店】沖縄でホワイトニング!周りから褒められる白い歯で自信のチャームポイントに
K様/30代/自営業
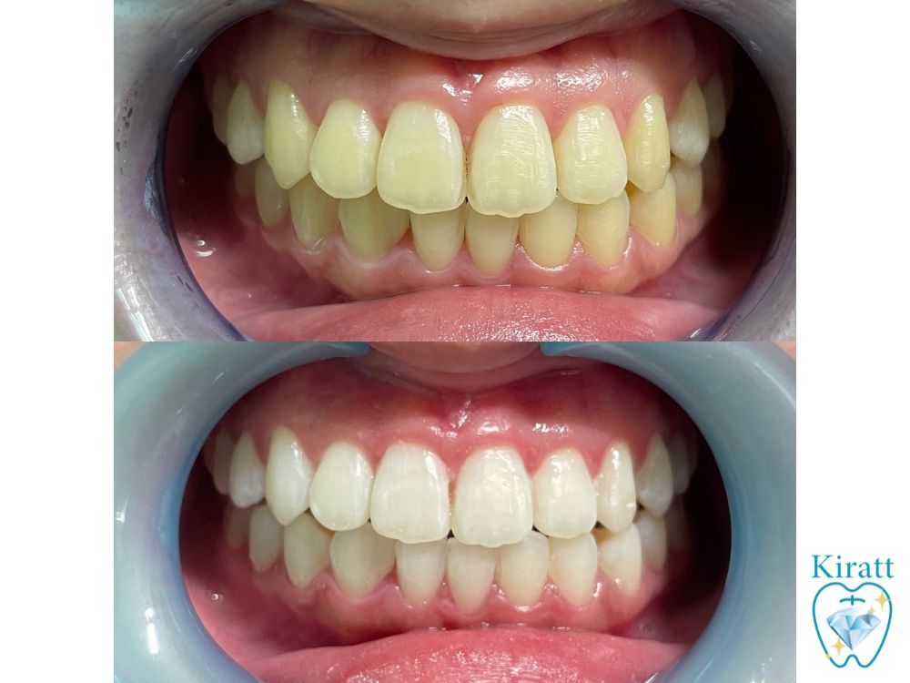
| ホワイトニング | 来店経歴 | 施術メニュー |
|---|---|---|
| Kirattが初めて | 1年 | クリスタルホワイトニング |
| コーヒー | タバコ | 結果 |
| 1日1〜2杯 | 吸わない | S30 → S6 |

Q1.ホワイトニングを始めようと思ったきっかけは何ですか?
私がホワイトニングに興味を持ったきっかけは、Kirattのオーナーである瑠奈さんと知り合ったことでした。
沖縄のKirattサロンでお話する機会があり、そこでホワイトニングの魅力や効果について直接教えてもらううちに、「これは自分もぜひ試してみたい!」という好奇心がどんどん湧いてきたんです。
初めての体験で最初は少し緊張もありましたが、サロンの安心できる雰囲気にも惹かれて、思い切って来店を決めました!
Q2.ホワイトニングを始める上で、何か不安なことはありましたか?
人生で初めてのホワイトニング体験だったので、「施術はどんな流れなんだろう?」「どれくらい効果が出るんだろう?」と、未知の世界に対して少し不安がありました。
ですが、実際に来店してみるとKirattサロンで丁寧に施術の説明を受けながら体験できたので、不安は一気に解消。「これなら安心してお任せできる」と感じられました。
さらに初回から目に見える変化を実感できたので、その時点から「もっと白くしたい!」という期待感がどんどん高まっていきました♪
Q3.当店(キラット)を選ばれた理由はありますか?
最大の決め手は、初回のホワイトニングで効果をしっかりと実感できたことです。
白くなった歯を鏡で見るたびに「嬉しい!」という気持ちが湧いてきて、「もうこの白さを手放したくない、戻りたくない」という強い思いが芽生えました。
さらに「もっと白くしたい」という前向きな気持ちと合わさって、沖縄で通いやすいサロンとしてKirattさんに通い続けることを決めました!
Q4.実際に歯が白くなって、どのような生活の変化がありましたか?
Kirattさんでの施術は、持続力も抜群で、毎日の生活を楽しみながら白い歯をキープできるのが本当にありがたいポイントです。
私はコーヒーや赤ワインが大好きなのですが、そういった色の濃い飲み物も気にせず楽しめているのに、歯の白さはしっかり維持されているのが嬉しい驚きでした。「我慢しなくていいホワイトニング」って本当に存在するんだなと実感しています。
さらに、周りの方から「歯が綺麗だね!」と褒められることが増え、自然と笑顔に自信が持てるようになりました。白い歯が、自分にとってのチャームポイントのひとつになってきたのを感じます♪
沖縄でホワイトニングを検討されている方にも、心からおすすめできるサロンです!

K様、初対面のときから「笑顔がとても素敵な方だな」と感じておりましたが、今ではご来店されるたびに、白い歯がさらにK様の笑顔を引き立て、魅力がどんどん増していらっしゃるのを強く実感しております♪
オーナー瑠奈との出会いからお繋がりいただき、1年にわたって通い続けてくださっていること、スタッフ一同とても嬉しく思っております。
これからもK様の素敵な笑顔を、白い歯でさらに引き立てられるようサポートさせていただきます!