【Kiratt 沖縄店】ワイン好きの私でも白さをキープ♪着付け師が通う癒しのホワイトニングサロン
N様 / 40代 / 着付け師
| ホワイトニング | 来店経歴 | 施術メニュー |
|---|---|---|
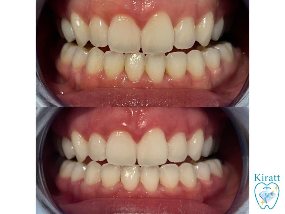
| セルフホワイトニング経験あり | 3ヶ月 | クリスタルホワイトニング |
| コーヒー・ワイン | タバコ | 結果 |
| 1杯 / 1日・ 週4は飲む | 吸わない | S24 → S8 |

Q1.ホワイトニングを始めようと思ったきっかけは何ですか?
実は約2年ほど前に、別のサロンでセルフホワイトニングを受けていた時期がありました。ただその後はしばらく遠ざかっていて、「そろそろまた始めたいな」と思いつつ、なかなか踏み出せずにいたんです。
そんな時、知人からキラットさんをご紹介いただき、「それなら行ってみよう!」と来店を決めました。
着付け師という仕事柄、和装のお仕事で人前に立つ機会も多いので、白い歯で自信を持って笑顔をお届けしたいという気持ちがありました。
Q2.ホワイトニングを始める上で、何か不安なことはありましたか?
私の一番の不安は、ズバリ「ワインをよく飲むので、ホワイトニングの効果がちゃんと出るのかどうか」でした。
ワインは週に4日は飲むほど好きで、正直これを我慢したくはなかったんです。「着色の代表格」と言われるワインを楽しみながら、白い歯をキープできるのか…?という点が、継続できるかどうかの鍵でした。
「大好きなものを我慢してまでホワイトニングするのは続かないだろうな」と思っていたので、自分のライフスタイルと両立できるのか、最初は少し心配していました。
Q3.当店(キラット)を選ばれた理由はありますか?
来店して最初に安心できたのが、丁寧なカウンセリングと納得感のある説明でした。ワインを飲むライフスタイルも正直にお話ししましたが、「大丈夫ですよ」と親身に対応してくださって、一気に不安が消えました。
「ここなら無理なく通えそう」と思えたので、その場でコース契約を決めました!
実際に通ってみると、ワイン好きの私でもしっかり白さをキープできているのが本当に嬉しいポイントです。さらに、店内の空間がとても心地よくて、毎回施術中に寝落ちしてしまうほどの癒しの時間になっています♪
ホワイトニングに行くというより、「癒されに行く」感覚で通えているのが、長く続けられている理由だと思います。
Q4.実際に歯が白くなって、どのような生活の変化がありましたか?
やっぱり歯が白いと、自然と嬉しくなりますし、自分自身の気持ちまで上がるんだなと改めて実感しています。着付け師として和装のお仕事でお客様と接する際にも、白い歯で笑顔を見せられることで自信に繋がっています。
そして、Kirattさんでは施術の最後に「キラット〜!」と笑顔で写真を撮る合言葉があるのですが、自信を持って笑顔でその合言葉を言えるようになったのが、個人的にとても嬉しかったエピソードです♪
白い歯って、こんなに毎日を明るくしてくれるものなんだなと感じています。

N様、お好きなワインを我慢することなく、白い歯をキープしていただけていること、スタッフ一同とても嬉しく感じております!
毎回、素敵な笑顔と「キラット〜!」の元気な声で、私たちの方こそ元気をいただいております♪着付け師としてのお仕事も、ますます白い歯で輝いていかれることを心から願っております。
これからもN様のライフスタイルに寄り添いながら、癒しの時間と白い歯の両方を提供させていただきます!