【Kiratt 金沢鞍月店】清潔感が一気にアップ!歯を見せて笑えるようになったホワイトニング体験
O様 / 63歳 / アルバイト
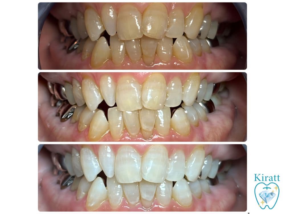
| ホワイトニング | 来店経歴 | 施術メニュー |
|---|---|---|
| はじめて | 1年 | クリスタルホワイトニング |
| コーヒー | タバコ | 結果 |
| 1杯 / 1日 | 吸わない | S30 → S10 |

Q1.ホワイトニングを始めようと思ったきっかけは何ですか?
昔から歯の黄ばみが気になっていたものの、年齢を重ねるにつれ、その黄ばみがより目立つようになりました。
人と話す時に口元を見られるのが少し恥ずかしく、会話中に自然と口元を隠してしまうことも。
「もっと自分に自信を持ちたい」「年齢に関係なく口元の清潔感を大切にしたい」そんな思いが強くなり、ホワイトニングを始めてみようと決意しました。
Q2.ホワイトニングを始める上で、何か不安なことはありましたか?
ホワイトニング自体は初めてでしたが、娘がすでに経験していたこともあり、「痛いの?」「しみたりするの?」といった不安はあまりありませんでした。
実際に娘から「痛くなかったよ」「安心して通えるよ」と聞いていたので、背中を押されるような形で安心して来店できました。
Q3.当店(キラット)を選ばれた理由はありますか?
娘がネットで色々調べてくれて、「Kiratt 金沢鞍月店が良さそうだよ!」とすすめてくれたのがきっかけです。
口コミも良く、料金も分かりやすかったため「ここなら通いやすそう」と思い、来店を決めました。
実際にスタッフの方がとても丁寧に説明してくださり、初回から不安なく施術を受けられました。
Q4.実際に歯が白くなって、どのような生活の変化がありましたか?
ホワイトニングを続けるうちに、思っていた以上に歯が白くなり、人と話すときに歯を見られても恥ずかしくなくなりました。
今では会話中に口元を隠す癖もなくなり、自然な笑顔でいられるようになったと思います。
さらに、同年代の方と話す時に、つい歯の色に目がいくようになり、「自分はホワイトニングをして良かった」と感じる瞬間が増えました。
周りから「清潔感があるね」と言われることもあり、ホワイトニングを取り入れたことで見た目の印象が大きく変わったと実感しています。

O様、いつもご来店いただきありがとうございます。
白さが定着してきて、まさに“清潔感アップ”を実感いただけてスタッフ一同とても嬉しいです!
歯の色は第一印象を大きく左右するポイントですので、その白さをご自身の魅力として、これからも一緒にキープしていきましょう。
引き続きサポートさせていただきますので、どうぞよろしくお願いいたします。