【Kiratt 金沢鞍月店】自信を持って歯を出して笑えるように!人前に立つ仕事だからこそ選んだホワイトニング
K様 / 26歳 / アナウンサー
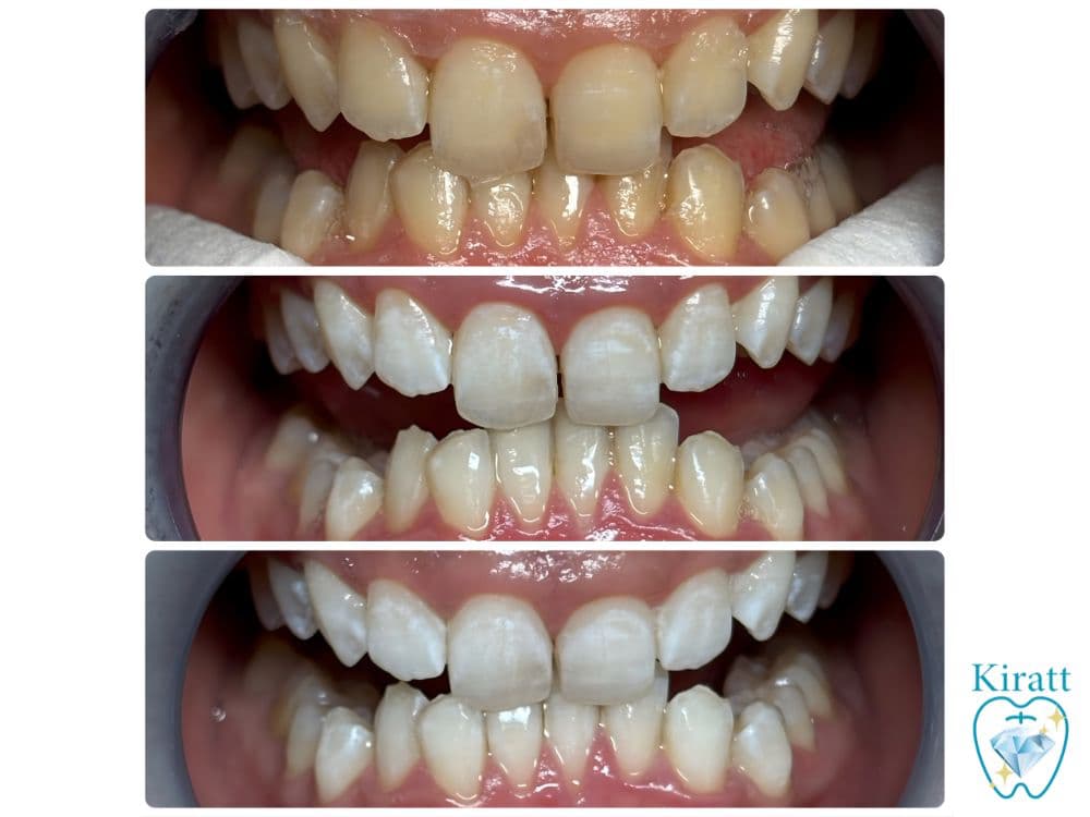
| ホワイトニング | 来店経歴 | 施術メニュー |
|---|---|---|
| はじめて | 1年 | クリスタルホワイトニング |
| コーヒー | タバコ | 結果 |
| 飲まない | 吸わない | S26 → S8 |

Q1.ホワイトニングを始めようと思ったきっかけは何ですか?
アナウンサーという職業柄、人前で話す機会やカメラに映る場面が多く、常に表情や口元が見られる環境にあります。
その中で、ふと収録後の映像を見返した際に、自分の歯の黄ばみが気になるようになりました。
「せっかく笑っているのに、歯の色で印象が変わってしまうのでは…?」という思いが強くなり、口元にもっと自信を持ちたいと思ったことが、ホワイトニングを始める大きなきっかけでした。
Q2.ホワイトニングを始める上で、何か不安なことはありましたか?
ホワイトニング自体が初めてだったこともあり、まずは「本当に白くなるのか?」という効果への不安がありました。
さらに、継続する場合の料金がどれくらいかかるのかも分からず、「自分でも無理なく続けられるのかな?」と心配していました。
しかし実際に来店すると、施術内容や料金プランについてスタッフの方がていねいに説明してくださったので、初めてでも安心してスタートすることができました。
Q3.当店(キラット)を選ばれた理由はありますか?
Kiratt 金沢鞍月店に通う決め手となったのは、口コミの評価が非常に高かったことです。
「白さが実感できた」「スタッフが親切」「痛みがない」といったリアルな声を見て、信頼できそうだと思いました。
実際に来店してみると、スタッフの皆さんの対応がとても丁寧で、初めてでも不安がなくなり、自然と“ここに通いたい!”という気持ちになりました。
サロンの雰囲気も清潔で居心地がよく、仕事の合間にもリフレッシュできると感じています。
Q4.実際に歯が白くなって、どのような生活の変化がありましたか?
一番大きな変化は、歯を出して笑うことに抵抗がなくなったことです。
仕事でもプライベートでも写真を撮る機会が多いのですが、ホワイトニングを始めてからは「笑った時の口元が気になる…」という不安が消えました。
白くなった歯を見るたびに自信がつき、表情も自然と明るくなったように感じます。
カメラの前で堂々と笑えるようになり、アナウンサーとしての自己表現の幅も広がりました。これからもこの白さをキープできるように続けていきたいです。

K様、いつもご来店いただきありがとうございます。
もともととても美しいお客様ですが、歯が明るく白くなったことで、さらに口元の印象が引き立ち、より一層美人度がアップしました✨
お仕事柄、人に見られる機会が多いと思いますので、自信を持って笑えるお手伝いができてとても嬉しく思います。
これからも自然で透明感のある白さを一緒にキープしていきましょう!