【Kiratt 茨城牛久店】カウンセリングで安心!差し歯の不安を解消しホワイトニングで笑顔に!
H様 / 50代 / 主婦
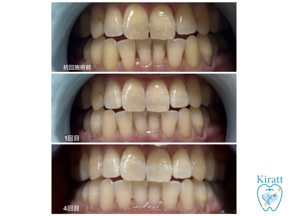
| ホワイトニング | 来店経歴 | 施術メニュー |
|---|---|---|
| なし | 4回目 | クリスタルホワイトニング |
| コーヒー | タバコ | 結果 |
| 1杯/日 | 吸わない | S34→S8 |

Q1.ホワイトニングを始めようと思ったきっかけは何ですか?
以前からずっと自分の歯の黄ばみが気になっており、いつか改善したいという思いを抱えていました。
人と対面で話す際も、「相手から口元を見られているのではないか」と無意識に不安を感じてしまうことがあり、自分の中で大きなコンプレックスになっていた口元の印象を変えて、もっと堂々と毎日を過ごしたいと強く思ったのがホワイトニングに踏み切った大きなきっかけです。
長年抱えていた「人目が気になる」という悩みを解消し、自分に自信を持ちたいという願いが、サロンを訪れる原動力になりました。
Q2.ホワイトニングを始める上で、何か不安なことはありましたか?
私は差し歯があるため、自前の歯との色の差が出てしまわないか、全体が本当にムラなく綺麗に仕上がるのかという点が一番の不安でした。
差し歯があっても不自然にならずに白さを実感できるのか、自分の希望がどこまで叶うのか半信半疑でしたが、事前のカウンセリングで仕組みを丁寧に説明していただけたことで納得してスタートすることができました。
専門的なアドバイスをいただけたおかげで、長年のコンプレックスだった黄ばみに対しても、前向きな期待を持って一歩踏み出すことができました。
Q3.当店(キラット)を選ばれた理由はありますか?
まずはカウンセリングを非常に丁寧にしていただけるという評判を聞き、自分の悩みもここならしっかり相談できると感じたのが一番の理由です。
実際に足を運んでみると、店内はとても清潔感があって落ち着ける空間であり、スタッフの方の丁寧な対応も含めて「ここなら安心して通い続けられる」と確信できたことが最終的な決め手となりました。
差し歯に関する不安に対しても、納得がいくまで詳しく説明してくださったおかげで、信頼してお任せすることができました。
Q4.実際に歯が白くなって、どのような生活の変化がありましたか?
あんなに気になっていた歯の黄ばみが解消されたことで、今では人前でも口元を隠すことなく思い切り笑えるようになりました。
以前は「人からどう見られているか」という不安が常にありましたが、鏡を見るたびに白さを実感できるのが嬉しく、自分に自信が持てるようになったことで毎日をポジティブな気持ちで過ごせています。
長年のコンプレックスから解放された喜びは大きく、ホワイトニングを始めて本当に良かったと心から感じています。
H様、この度は素敵なご感想をありがとうございました!
歯が白くなることで自分に自信が持てるようになり、思いっきり笑えるようになったことは、何にも変えがたい価値のあることですよね。
コンプレックスを乗り越えたH様の輝く笑顔は、本当に素敵で私たちまで嬉しくなります!
今後も、白い歯で毎日をより楽しく、ポジティブに過ごしていただけるよう精一杯サポートさせていただきます。
こちらこそ、これからもどうぞよろしくお願いいたします。

