【Kiratt 羽村店】「歯の白さ」を意識して自分磨き。ホワイトニングで変わる毎日の印象
Y様/20代/サービス業
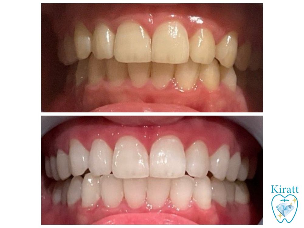
| ホワイトニング | 来店経歴 | 施術メニュー |
|---|---|---|
| はじめて | 3年半 | クリスタルホワイトニング |
| コーヒー | タバコ | 結果 |
| 飲まない | 吸わない | S24→S6 |

Q1.ホワイトニングを始めようと思ったきっかけは何ですか?
最近、友人や仕事仲間など周りの方と接する中で、歯が白くて綺麗な人が多いなと感じる機会が増えていました。
その素敵な笑顔を見るたびに、「自分の歯の色はどう見えているんだろう?」と少しずつ鏡を見るのが気になり始めたんです。
特別なイベントがあるわけではないのですが、髪を整えたりスキンケアをしたりするのと同じように、歯の白さも「毎日の大切な身だしなみの一つ」として整えておきたいと思うようになりました。
日常の自分をもっとアップデートしたい、そんな前向きな気持ちがホワイトニングを始める一番のきっかけでした。
Q2.ホワイトニングを始める上で、何か不安なことはありましたか?
初めてのホワイトニングということで、やはり一番気になっていたのは「歯がしみたり、痛みが出たりしないか」という点でした。
以前、知人からホワイトニングの痛みについて聞いたことがあったので、少し構えてしまっていた部分もあったんです。
ですが、Kirattさんでは施術前に、なぜ痛みが出にくいのか、どのような仕組みで白くしていくのかを、素人の私にも分かりやすく丁寧に説明してくださいました。
一つひとつの疑問に対して納得できる答えをいただけたことで、「ここなら大丈夫」と安心して一歩を踏み出すことができました。
Q3.当店(キラット)を選ばれた理由はありますか?
ホワイトニングを毎日の身だしなみとして定着させたかったので、何よりも「通いやすさ」を重視して探していました。
せっかく始めても、遠かったり不便だったりすると続けるのが難しくなってしまうと思ったからです。
Kirattさんは自宅から近く、仕事帰りや休日のちょっとした時間にも無理なく通える立地の良さが大きな決め手になりました。
地元の羽村市内で、こんなにリラックスして過ごせる素敵なサロンがあるなら「ここしかない!」と感じ、迷わず選ばせていただきました。
Q4.実際に歯が白くなって、どのような生活の変化がありましたか?
ホワイトニングを始めてから、自分自身で鏡を見るのが楽しみになったのはもちろんですが、周りの友人や同僚から「歯が白くてきれいだね!」と褒められる機会がぐんと増えたことに驚いています。
自分の変化を客観的に認めてもらえることで、身だしなみを整えて本当によかったと心から実感しています。
以前よりも自然と笑顔が増え、会話をするときも相手の目をしっかり見て堂々と振る舞えるようになりました。
小さな「美しさの習慣」が、日々の生活に明るい変化と自信を運んできてくれました!

いつもKiratt(キラット)羽村店へご来店いただき、誠にありがとうございます。
初回からホームケアも含め、とても丁寧にケアを続けてくださったおかげで、回数を重ねるごとに「自然で明るい白さ」がしっかりと定着してきましたね。
周りの方からも褒めていただけたというお話を聞き、自分のことのように嬉しくなりました!
ホワイトニングは、白くなってからの「維持」も楽しみのひとつです。これからもその美しい笑顔をキープできるよう、私たちがしっかりとサポートさせていただきます。また次回、お会いできるのを楽しみにしております!