【Kiratt 羽村店】ホワイトニングの効果仕事の中で気づいた口元の印象の変化に驚き!
T様/20代/会社員
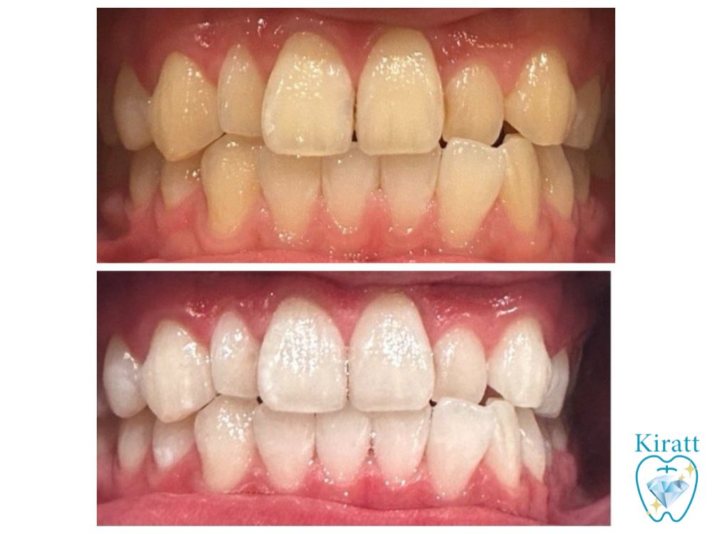
| ホワイトニング | 来店経歴 | 施術メニュー |
|---|---|---|
| はじめて | 5ヶ月 | クリスタルホワイトニング |
| コーヒー | タバコ | 結果 |
| 1杯 / 1日 | 5本/1日 | S28→S6 |

Q1.ホワイトニングを始めようと思ったきっかけは何ですか?
日々、仕事でお客様と接する中で、あるとき「笑顔がとても素敵で、清潔感に溢れている方」が非常に多いことに改めて気づきました。
何がその印象を作っているのか注目してみると、共通していたのは「白く整った歯」でした。
自分もプロとしてお客様の前に立つ以上、相手に安心感や信頼感を与える身だしなみを徹底したいと強く感じるようになったんです。
そんな時、実際にお客様から「ここのホワイトニング、すごく良いですよ」とKirattさんを紹介していただいたことが決定打となりました。
信頼している方からの直接の勧めがあったからこそ、迷うことなく自分も始めてみようと決意できました。
Q2.ホワイトニングを始める上で、何か不安なことはありましたか?
初めてのホワイトニングではありましたが、実は不安はほとんどありませんでした。
というのも、実際にKirattさんに通って、驚くほど歯が白く綺麗になったお客様をこの目で直接拝見していたからです。
「本当に白くなるのかな?」という疑問を抱く暇もないほど、目の前の変化が何よりの証拠でした。
むしろ不安よりも「自分もあんな風に、清潔感のある明るい口元になれるんだ!」というワクワク感や楽しみな気持ちの方が大きく、リラックスした状態でスタートすることができました。
Q3.当店(キラット)を選ばれた理由はありますか?
もともとお客様に紹介していただいたのは別の店舗のキラットさんだったのですが、ブランドとしての確かな実績や効果は、そのお客様の美しい歯を見て確信していました。
そこで改めて近くの店舗を探したところ、自宅から無理なく通える距離に「羽村店」があることを知りました。
ホワイトニングは継続してケアすることが大切だと考えていたので、信頼できるキラットさんの施術を、生活圏内である羽村で受けられることが最大の決め手になりました。
Q4.実際に歯が白くなって、どのような生活の変化がありましたか?
実際に歯が白くなったことで、自分自身の美意識がさらに高まり、ホワイトニングが欠かせない「大切な身だしなみの一部」になりました。
歯が白く整うと、不思議と髪型や服装など、全体の清潔感にもより意識が向くようになり、自分自身の印象がトータルで底上げされたと感じています。
仕事でお客様と接する際も、自信を持って笑えるようになったことで、相手に与える印象が以前よりずっと明るくなりました。
「細部まで整える」という意識が日々の習慣になり、毎日をよりポジティブな気持ちで過ごせています!

初回から「安心感」を持ってスタートしていただき、私たちも大変嬉しく思っております。
T様が日々、ホームケアとサロンケアを両立してくださっているおかげで、現在は理想的な白さが定着し、とても良い状態をキープされていますね!
お仕事で多くの方と接するT様にとって、口元の清潔感は欠かせない「強み」になっているはずです。
これからもその素敵な笑顔を絶やさぬよう、ライフスタイルに合わせた無理のないペースで、全力でサポートさせていただきます。
また次回お会いできるのを楽しみにしております!