【Kiratt 羽村店】ホワイトニングで仕事の第一印象が変わる!白い歯を維持して清潔感と自信を。
S様/20代/会社員
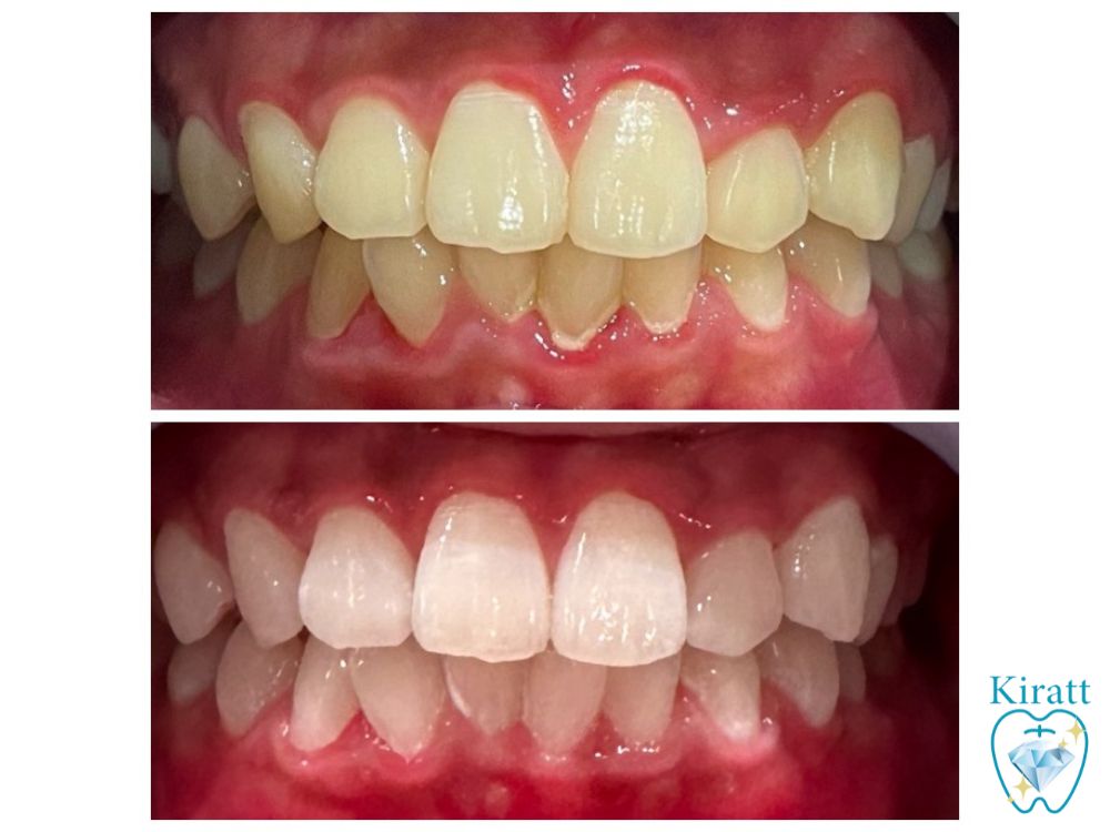
| ホワイトニング | 来店経歴 | 施術メニュー |
|---|---|---|
| はじめて | 2年半 | クリスタルホワイトニング |
| コーヒー | タバコ | 結果 |
| 飲まない | 15本/1日 | S26→S6 |

Q1.ホワイトニングを始めようと思ったきっかけは何ですか?
仕事柄、毎日多くの方と接する機会があり、以前から「第一印象」の重要性を強く感じていました。
特に商談や接客の場面では、表情や口元の印象が、そのまま仕事に対する信頼感や清潔感に繋がると考えています。
鏡を見るたびに「もう少し歯が白ければ、もっと自信を持って笑顔で話せるのに…」と感じるようになり、ビジネスにおける自己投資としてホワイトニングを決意しました。
単に見た目を整えるだけでなく、相手に安心感を与え、自分自身の仕事へのモチベーションを高めたいと思ったのが一番のきっかけです。
Q2.ホワイトニングを始める上で、何か不安なことはありましたか?
初めてのホワイトニングだったので、多少の不安はありました。
特に仕事が忙しい時期だったため、「施術にどれくらい時間がかかるのか」「痛みで仕事に支障が出ないか」といった点は気になっていたポイントです。
しかし、Kirattさんでは施術前に、具体的な手順や注意点をとても分かりやすく説明してくださいました。
こちらの疑問に対しても一つひとつ丁寧に答えていただけたので、抱えていた不安はすぐに解消されました。
プロからしっかりとした説明を受けたことで、安心してお任せできると確信したのを覚えています。
Q3.当店(キラット)を選ばれた理由はありますか?
サロンを選ぶ際、一時的に白くするだけでなく、その白さをどう維持できるかを重視していました。
仕事柄、常にベストな状態の「清潔感」を保っておきたい私にとって、Kirattさんの「定期的なメンテナンスで白さをキープする」という考え方は非常に理にかなっていると感じました。
「一度やって終わり」ではなく、プロのサポートを受けながら日常のケアとして組み込める点が、自分のライフスタイルに合っていると思ったのが選んだ理由です。
ここなら、仕事のスケジュールに合わせて無理なく通い、常に自信の持てる口元を維持できると確信しました。
Q4.実際に歯が白くなって、どのような生活の変化がありましたか?
一番の変化は、人と対面したときや笑うときに、以前よりもずっと自分に自信が持てるようになったことです。
これまでは、会話の最中に「歯の色が不潔に見えていないかな?」と無意識にブレーキをかけてしまうことがありましたが、今ではそんな心配も一切ありません。
特に営業の現場では、第一印象を気にせず、思い切り笑顔で接することができるようになったと感じています。
自分の表情に自信が持てると、自然と声のトーンも明るくなり、お客様とのコミュニケーションもより円滑になりました。
清潔感のある口元が、今では私の強力な「ビジネスツール」のひとつになっています!

S様、いつもご来店いただき誠にありがとうございます。
お仕事で忙しい中でも継続して通っていただいていることで、清潔感のある自然な白さをしっかりとキープされています。
口元の印象が整うことで、笑顔もより明るくなり、第一印象のよさがさらに伝わってきます。
今後も無理のないペースで、白さを維持できるようサポートさせていただきます