【Kiratt 越前武生店】歯の黄ばみの悩みを卒業!キラットで『やって良かった』ホワイトニング
T様/20代/会社員
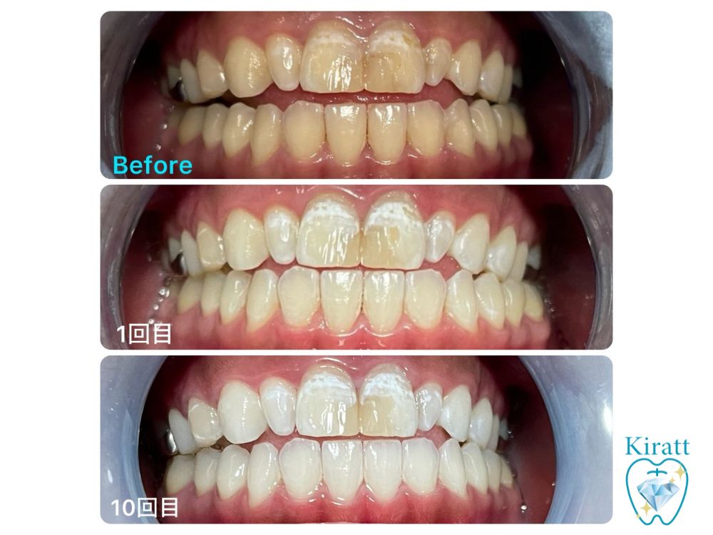
| ホワイトニング | 来店経歴 | 施術メニュー |
|---|---|---|
| 経験なし | 8ヶ月 | クリスタルホワイトニング |
| コーヒー | タバコ | 結果 |
| 飲まない | 吸わない | S26 → S6 |

Q1.ホワイトニングを始めようと思ったきっかけは何ですか?
ふとした瞬間に、「周りにいる人たちと比べて、自分の歯は少し黄ばんでいるんじゃないか…」と気になり始めたのがきっかけでした。
一度意識し始めると、友達と笑い合っている時や鏡を見た時も、自分の口元ばかりに目がいくようになってしまったんです。
清潔感のある明るい印象を自分も手に入れたいと強く思い、Kiratt(キラット)越前武生店さんへ相談することに決めました。
「周りの目を気にせず、自信を持って隣で笑いたい」という真っ直ぐな想いが、自分磨きをスタートさせる大きな原動力になりました!
Q2.ホワイトニングを始める上で、何か不安なことはありましたか?
正直なところ、「ホワイトニングって値段が高そうだし、自分でも本当に白くなるのかな?」という不安が、ずっと頭の片隅にありました。
「高いお金を払って変わらなかったらどうしよう……」と、なかなか勇気が出なかったんです。
ですが、越前武生店さんのカウンセリングで、明確な料金プランと「なぜ白くなるのか」という仕組みを論理的に説明していただけたので、納得してスタートすることができました。
「効果への疑問」や「価格への不安」を、スタッフさんが一つずつ丁寧に解消してくれたおかげで、安心感を持って一歩踏み出せました!
Q3.当店(キラット)を選ばれた理由はありますか?
実際に通っている友人が「価格も手頃だし、すごくいいよ!」と勧めてくれたことが、Kiratt(キラット)越前武生店さんを選んだ一番の決め手でした。
特に魅力を感じたのは、自分のペースで進められる「セルフホワイトニング」というスタイルです。
「人目を気にせず、リラックスした状態で楽に施術ができる」と聞き、それなら私でも気負わずに続けられそう!と直感的に思いました。
「信頼できる友人の太鼓判」と「自分の空間でリラックスしてできる気楽さ」があったからこそ、迷わずこちらで始めることに決めました!
Q4.実際に歯が白くなって、どのような生活の変化がありましたか?
以前はあんなに気になっていた「歯の黄ばみ」を一切意識することなく、今では心の底から思いっきり歯を見せて笑えるようになりました!
鏡を見るたびに自分の変化が嬉しくて、自然と表情まで明るくなった気がします。
友達との会話や写真撮影の瞬間も、口元を隠す必要がなくなったことで、その場を全力で楽しめるようになったのが一番の大きな変化です。
「もっと早く始めれば良かった!」と思うほど、白い歯が自分に自信をくれ、毎日を前向きに過ごせる最高のきっかけになりました。

いつもご来店ありがとうございます!
定期的にしっかり通ってくださったおかげで、今ではすっかり白さが定着し、お色の戻りも驚くほど小さくなりましたね! お友達と一緒に楽しみながら、理想の白い歯をキープされている姿を拝見できて、私たちスタッフも本当に嬉しい気持ちでいっぱいです。
これからはもう、「黄ばみ」なんて一切気にせず、思いっきり笑って「歯っぴー」な毎日を全力で過ごしてくださいね!
これからもお二人の輝く笑顔を維持できるよう、私たちがしっかりサポートさせていただきます。今後とも、どうぞよろしくお願いいたします!