【Kiratt 塩釜店】口元からアップデート。歯が白いとメイクが楽しく、毎朝の鏡が楽しみに!
S様/30代/会社員
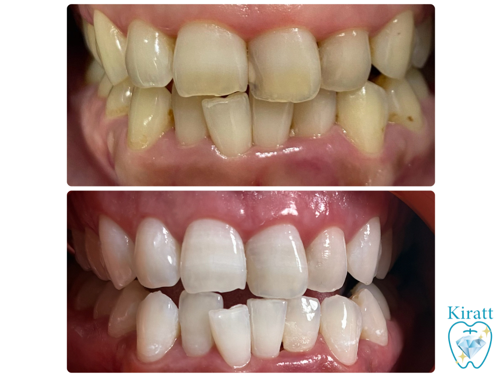
| ホワイトニング | 来店経歴 | 施術メニュー |
|---|---|---|
| 初めて | 3年 | クリスタルホワイトニング |
| コーヒー | タバコ | 結果 |
| 毎日飲む | 吸う | S28→S8 |

Q1.ホワイトニングを始めようと思ったきっかけは何ですか?
以前から自分の歯の黄ばみがずっと気になっており、いつか綺麗にしたいという思いを抱えていました。
そんな中、ふとマスクを外す機会が増えたタイミングで、ふいに見えた歯が白く健康的だったら、自分をもっと好きになれるし素敵だなと感じたのがホワイトニングを始める大きなきっかけです。
「隠すためのマスク」ではなく、自信を持って素顔を見せられるようになりたいという気持ちが、私の背中を強く押してくれました。
Q2.ホワイトニングを始める上で、何か不安なことはありましたか?
一番は費用の面でどれくらいかかるのか、そして施術中に痛みが出ないかという点がとても気になっていました。
また、自分が納得できる理想の白さになるまでには一体どれくらいの期間通う必要があるのかなど、具体的なイメージが持てなかったこともあり最初は少し不安を感じていました。
期待はありつつも、自分の希望がしっかり叶うのかどうか、効果と手間のバランスについて慎重に考えていた時期がありました。
Q3.当店(キラット)を選ばれた理由はありますか?
いつもお世話になっているネイリストさんの歯がハッとするほど白くて綺麗で、その美しさに憧れてお話を聞いたのがきっかけです。
その際に、キラットさんを心からオススメしていただいたことや、実際に通っている方のリアルな美しさを目の当たりにしたことで、「ここなら間違いない」と確信して通うことを決めました。
信頼できる美容のプロの方が太鼓判を押すサロンなら、私の悩みもきっと解決してくれるはずだという期待感が、大きな決め手となりました。
Q4.実際に歯が白くなって、どのような生活の変化がありましたか?
マスク生活の中でずっと見て見ぬふりをしてきた歯の黄ばみが、驚くほど真っ白になったおかげで、顔色全体がパッと明るくなり、肌のくすみまで抜けたように感じています。
また、歯が白くなったことでメイクの発色も以前よりずっと鮮やかに映えるようになり、毎日鏡の前でメイクをする時間が楽しくて仕方がないと感じられるようになったのが一番の変化です。
こんなに綺麗になれるなら、悩んでいないでもっと早く始めれば良かったです。手に入れたこの透明感を大切に、これからも楽しみながら継続して白さをキープしていこうと思います。

いつも当店をご利用いただき、誠にありがとうございます!
毎月欠かさずメンテナンスにお越しいただき、常に理想的な白さである「S8」をキープされているS様の美意識の高さには、私たちもいつも感銘を受けております。
歯の白さが際立つことで、リップの発色やメイクの仕上がりがさらに引き立ち、S様の持つ清潔感や第一印象の良さがより一層輝いていますね。
「メイクをするのが楽しくなった」というお言葉をいただけたこと、私たちスタッフも自分のことのように幸せな気持ちでいっぱいです!
これからも歯が白くなることで、毎日のワクワクがもっともっと増していくよう、精一杯サポートさせていただきます。今後とも、どうぞよろしくお願いいたします!