【Kiratt 塩釜店】歯が白いと、何に対してもやる気につながる!自分をアップデート
K/40代/美容業
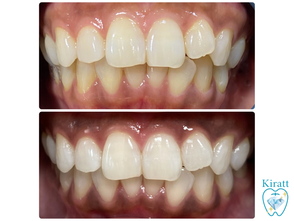
| ホワイトニング | 来店経歴 | 施術メニュー |
|---|---|---|
| はじめて | 3年 | 美歯口 |
| コーヒー | タバコ | 結果 |
| 3杯/週 | 吸わない | S24→S14 |

Q1.ホワイトニングを始めようと思ったきっかけは何ですか?
ホワイトニングに興味を持ち始めてから、無意識に周りの人の口元へ目が向くようになり、歯が白いと清潔感がぐんと上がることに改めて気づかされました。
改めて鏡で自分の歯をじっくり見てみると、黄ばみが強く、どこか不潔な印象を与えてしまっているのではないかと感じ、「今すぐホワイトニングをして綺麗になりたい!」と強く思ったのがきっかけです。
一度気になりだすと、人と話すときも口元を隠したくなるような感覚があったため、自信を持って笑える自分にアップデートしようと決意しました。
Q2.ホワイトニングを始める上で、何か不安なことはありましたか?
事前に自分なりにホワイトニングについて調べていたので、手順などの大きな不安は特にありませんでしたが、唯一「痛みが出ないか」という点だけは少し心配でした。
ホワイトニングといえば痛みがあるイメージが強かったのですが、実際にやってみると全く痛みを感じることなく進められたので、これなら無理なく続けられそうだと心から安心することができました。
想像していたようなストレスが一切なく、リラックスした状態でスタートできたのが、私にとってはとても大きな収穫でした。
Q3.当店(キラット)を選ばれた理由はありますか?
実際に通っている知り合いが数人いて、その変化を間近で見ていた安心感があったことや、自宅から通いやすい距離だったことが大きな決め手です。
さらに、ネット上の口コミでも非常に高い評価が多く、ここなら自分も理想の白さを手に入れられると確信できたことが、最終的にKirattでホワイトニングを始めようと決めた理由です。
身近な人の成功体験と、アクセスの良さ、そして多くの方の満足度の高さが重なり、「ここでなら間違いない」という強い信頼感を持って通い始めることができました。
Q4.実際に歯が白くなって、どのような生活の変化がありましたか?
歯が白くなったことで美意識がさらに高まり、日々のケアに美白用のアイテムを取り入れたり、食後はこまめにうがいをしたりと、自分から進んでメンテナンスを楽しむようになりました。
何よりも、口元が明るいと顔全体がパッと華やかになり、以前よりもぐんと若々しく見えるようになった気がして、鏡を見るたびに何に対してもやる気がみなぎってくるのを感じています。
この手応えを励みに、これからも楽しみながら継続して、今の理想的な白さをしっかりとキープしていこうと思います。

美容のプロフェッショナルとして第一線で活躍されているK様にとって、白い歯はリップやメイクの美しさを最大限に引き立てる、最高のスパイスだと感じております。
お会いするたびに輝きを増す笑顔は、清潔感や第一印象をアップさせるだけでなく、K様自身の「やる気」や自信に満ちあふれたオーラをさらに際立たせていますね。
これからも、大切なイベントやご予定の前に「ここに来れば安心」と思っていただけるよう、理想の白さとモチベーションを全力でサポートさせていただきます。こちらこそ、今後ともどうぞよろしくお願いいたします!