【Kiratt 佐賀店】卒業式に向けて“自信の持てる白さ”へ。ホームホワイトニングでは叶わなかった仕上がりを実感!
M様 / 30代 / 会社員
| ホワイトニング | 来店経歴 | 施術メニュー |
|---|---|---|
| ホームホワイトニング経験あり | 6ヶ月 | クリスタルホワイトニング |
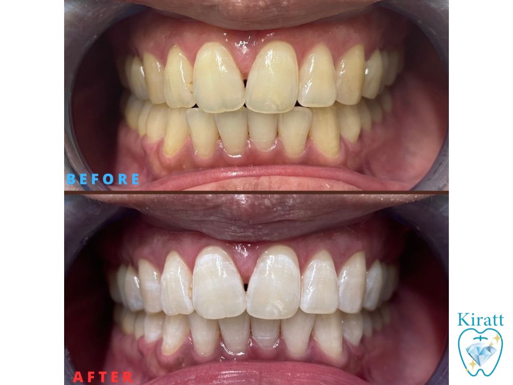
| コーヒー | タバコ | 結果 |
| 飲む | 吸う(電子タバコ) | S24 → S6 |

Q1.ホワイトニングを始めようと思ったきっかけは何ですか?
以前からホームホワイトニングをしていましたが、なかなか思うように白くならず、痛みも強かったため続けづらさを感じていました。
また、娘の卒業式が近づくにつれて、「たくさん写真を撮るだろうから、口元はできるだけきれいにしておきたい」という思いが強くなり、本格的にホワイトニングに取り組むことを決めました。
特に30代になってからは、写真に写る自分の歯のトーンが気になっていたので、「今回こそ理想の白さに仕上げたい」と思い、思い切ってスタートしました。
Q2.ホワイトニングを始める上で、何か不安なことはありましたか?
一番気になっていたのは“痛み”でした。
ホームホワイトニングの経験があるからこそ、「またしみたりしないかな…」という不安がずっとありました。
また、仕事や家のことで忙しい日も多いので、通いやすさや負担が少ないかどうかも重要なポイントでした。
無理なく続けられるのか、スケジュール的に無理がないのか、それも心配していました。
Q3.当店(キラット)を選ばれた理由はありますか?
Kirattを選んだ一番の理由は、“自分のペースで無理なく通える” と感じたことです。
ホームホワイトニングのように毎日時間を取る必要がなく、短時間でしっかり結果が見えたのも魅力でした。
さらに、口コミでも「痛くない」「続けやすい」と書かれていて、それが気になって来店してみたところ、本当にその通りでした。
施術中も快適で、1回目から白さを感じられたことが決め手になりました。
Q4.実際に歯が白くなって、どのような生活の変化がありましたか?
まず鏡を見るたびに、歯の白さが目に入るようになり、お化粧映えが格段に良くなったのを感じました。
肌のトーンまで明るく見えるような気がして、毎朝の身支度が少し楽しくなりました。
また、私はスポーツ観戦が大好きで、現地でも思いっきり声を出したり笑ったりすることが多いのですが、最近は「歯を見せて笑えるってやっぱり気持ちいい!」と感じる瞬間が本当に増えました。
卒業式でも堂々と笑って写真に写れると思うと、今からとても楽しみです。

M様、この度はKiratt佐賀店にお越しいただき誠にありがとうございました。
ホームホワイトニングで痛みや効果の面でご不安があった中、当店のクリスタルホワイトニングを選んでいただき、そして6ヶ月のご継続を通してしっかり白さをご実感いただけたことをスタッフ一同大変嬉しく思います。
娘さんの卒業式に向けて「最高の笑顔で写りたい」というお気持ち、とても素敵です。その大切なタイミングのお手伝いができることは、私たちにとっても大きな喜びです。
これからも日常やスポーツ観戦の時間が、より明るく楽しいものになりますように。M様の理想の白さと健康的な口元をしっかりサポートしてまいりますので、どうぞ引き続きよろしくお願いいたします。