【Kiratt 越谷レイクタウン店】歯を気にせず笑える!ホワイトニングで叶えた自然な白さ
K.K様/50代/無職
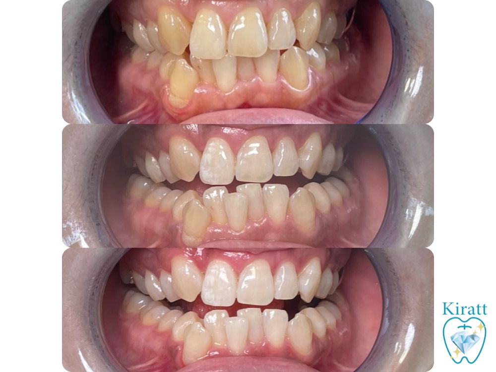
| ホワイトニング | 来店経歴 | 施術メニュー |
|---|---|---|
| 経験なし | 1年8ヶ月 | クリスタルホワイトニング |
| コーヒー | タバコ | 結果 |
| 1日/2杯 | 吸わない | s38→s8 |

Q1.ホワイトニングを始めようと思ったきっかけは何ですか?
長年、歯の黄ばみに悩んでいて、写真を撮るときや人と話すときに口元を気にしてしまうことが多く、「いつか本気でホワイトニングをしたい」とずっと思っていました。
鏡に映る自分の歯を見るたびに、白い歯への憧れがより強くなっていきました。
これまでホームホワイトニングも試しましたが思うような効果が出ず、越谷レイクタウンでしっかり効果を実感できるホワイトニングを探していたところ、口コミ評価の高い ホワイトニングサロンKiratt越谷レイクタウン店 を知りました。
「ここなら長年の悩みを改善できそう」と感じ、思い切って来店を決めました。
Q2.ホワイトニングを始める上で、何か不安なことはありましたか?
特に大きな不安はありませんでした。むしろ、長年気になっていた歯の黄ばみを改善したい気持ちが強く、「早くホワイトニングを始めたい」という前向きな気持ちの方が大きかったです。
また、Kiratt越谷レイクタウン店は歯科衛生士が在籍していることや、口コミでも「痛みがなかった」「安心して通える」といった声が多かったので、初めてでも抵抗なくスタートできました。
しっかりサポートしてもらえる環境が整っていると感じたので、迷わずホワイトニングを始められました。
Q3.当店(キラット)を選ばれた理由はありますか?
家から通いやすい場所にあり、歯科衛生士さんが在籍している点に安心感を持ち、Kiratt越谷レイクタウン店を選びました。
JR武蔵野線 越谷レイクタウン駅 南口より徒歩5分 とアクセスも良く、仕事帰りや予定の合間にも立ち寄りやすい距離感だったのも大きな決め手です。
また、ホワイトニングに関する説明が丁寧で、口コミでも高評価が多かったため、「ここなら通い続けられる」と感じ、安心してスタートできました。
Q4.実際に歯が白くなって、どのような生活の変化がありましたか?
ホワイトニングを続けたことで、歯の黄ばみを気にせず自然に笑えるようになりました。
以前は写真を撮るときも口元を隠しがちでしたが、今では白い歯のおかげで笑顔に自信が持てています。
周りから「歯がキレイになったね」と言われることも増え、気分まで明るくなりました。越谷レイクタウンでホワイトニングを始めて本当に良かったと感じています。

K.K様、この度はホワイトニングサロンKiratt越谷レイクタウン店へご来店いただき、誠にありがとうございました。
いつも穏やかで優しいお話しの仕方をされるk.k様とのお時間は、スタッフにとってもとても心地よく、笑顔が増えるひとときでした。
ホワイトニングを通して「歯を気にせず笑えるようになった」とお話しいただけたこと、本当にうれしく思います。
お口元の変化に喜んでいただける姿を見るたび、私たちも励みになっております。
これからも白い歯をキープできるよう、しっかりサポートさせていただきますので、無理のないペースで通っていただけたら幸いです。
今後ともどうぞよろしくお願いいたします。