【Kiratt 越谷レイクタウン店】成人式をきっかけにホワイトニング!歯が白くなって笑顔に自信を持てるようになりました!
M様 / 20代 / 会社員
| ホワイトニング | 来店経歴 | 施術メニュー |
|---|---|---|
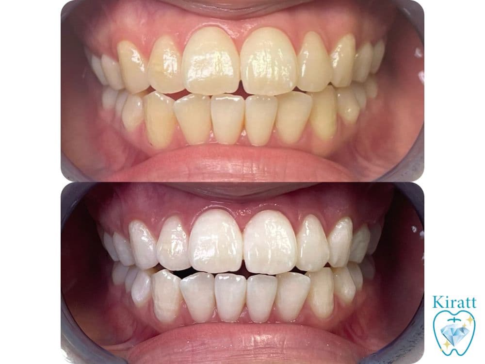
| はじめて | 3ヶ月 | クリスタルホワイトニング |
| コーヒー | タバコ | 結果 |
| 飲まない | 吸わない | S28 → S8 |

Q1.ホワイトニングを始めようと思ったきっかけは何ですか?
もともとホワイトニングには興味があり、以前から「歯を白くしたい」と考えていました。
特に成人式を迎えるにあたり、写真や式典で自分の笑顔をより明るく美しく見せたいという思いが強くなり、具体的に行動に移すことを決めました。
笑顔をより魅力的に見せることで、第一印象を良くしたいという気持ちも後押しになりました。
Q2.ホワイトニングを始める上で、何か不安なことはありましたか?
初めてのホワイトニングだったため、施術中に痛みやしみが出るのではないかという不安がありました。
歯の健康に影響はないか、結果が本当に出るのかという心配もありました。
しかし、歯科衛生士の方のカウンセリングで詳しく説明を受けることで安心でき、実際に施術を受けてみると痛みもなく、リラックスして受けられました。
Q3.当店(キラット)を選ばれた理由はありますか?
職場から近く、通いやすい立地にあったことが大きな理由です。また、Web検索で評判の良い口コミを確認したことも決め手になりました。
口コミでは「施術が丁寧で効果を実感できた」「痛みが少ない」といった声が多く、初めてのホワイトニングでも安心して通えると感じ、Kiratt越谷レイクタウン店を選びました。
Q4.実際に歯が白くなって、どのような生活の変化がありましたか?
ホワイトニングを続けた結果、S28 → S8 までトーンアップし、歯の白さを実感できました。
職場の同僚から「歯が白いね」と褒められることも増え、自信を持って笑顔を見せられるようになりました。
普段の表情や印象が明るくなり、人とのコミュニケーションもより楽しくなったとのことです。

M様、この度はKiratt越谷レイクタウン店をお選びいただき、誠にありがとうございます。
初めてのホワイトニングで不安もあったかと思いますが、しっかり通っていただき、S28 → S8まで白さを実感いただけたとのこと、大変嬉しく思います。
職場の方からも褒められるほどの白さになり、笑顔に自信がついたとのご報告を受け、私たちも励みになります。
これからもM様の白い歯をキープできるよう、丁寧にサポートさせていただきますので、どうぞよろしくお願いいたします。