【Kiratt 小松店】歯磨き粉では白くならなかった歯が、キラットのホワイトニングで自信を持って笑えるようになりました!
F様 / 20代 / 会社員
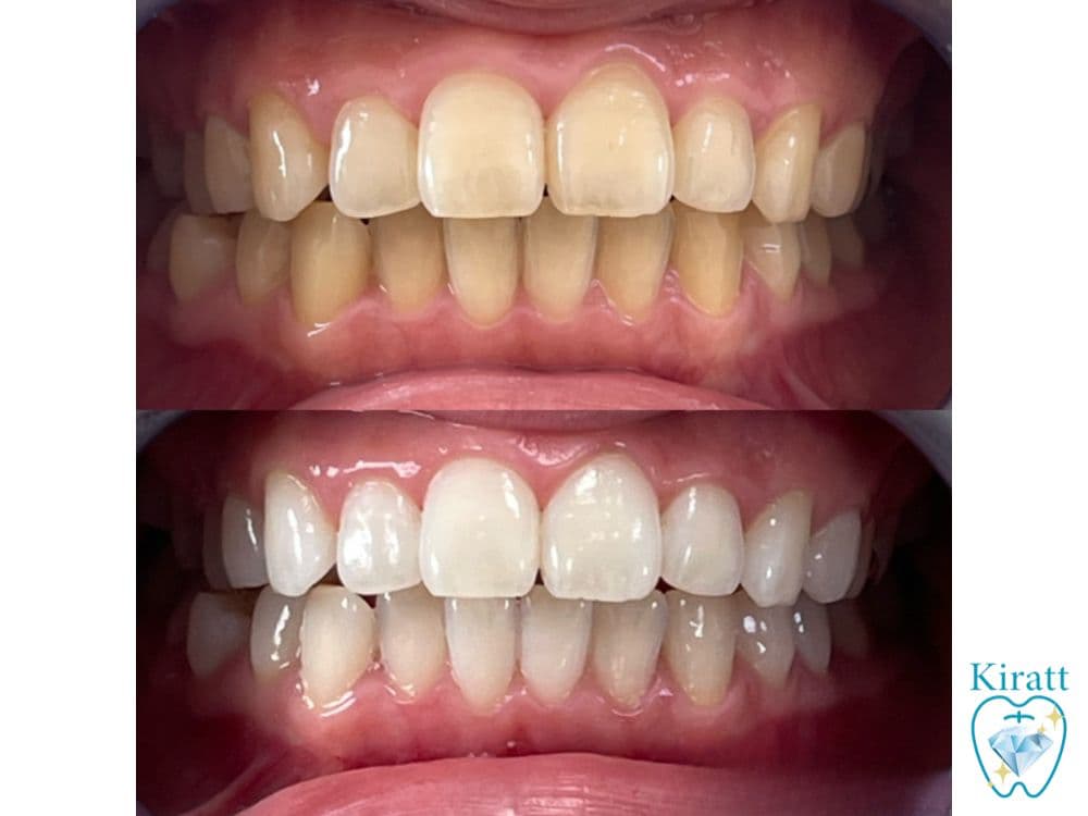
| ホワイトニング | 来店経歴 | 施術メニュー |
|---|---|---|
| はじめて | 2ヶ月 | クリスタルホワイトニング |
| コーヒー | タバコ | 結果 |
| 1杯 / 1日 | 吸わない | S22 → S6 |

Q1.ホワイトニングを始めようと思ったきっかけは何ですか?
学生時代から自分の歯の黄ばみが気になっており、鏡を見るたびに「もっと白くなればいいのに」と思っていました。
市販のホワイトニング歯磨き粉をいくつも試しましたが、目に見える効果は感じられず、半ば諦めていたんです。
そんな時に、ネット検索で「キラットさんは効果が出る」「痛みがなく安心できる」という口コミを見かけました。
信頼できそうだと感じ、「ここなら今までの悩みを解決できるかもしれない」と思い切って予約をしました。
Q2.ホワイトニングを始める上で、何か不安なことはありましたか?
一番の不安は「どれくらいの期間で白くなるのか」という点でした。仕事をしながら通うため、長期間かかると続けられるか心配だったのです。
ですが、初回のカウンセリングではスタッフの方がとても丁寧に説明してくださり、目安となる施術回数や効果が出るプロセスを具体的に教えていただけました。
さらに、1回目の施術でS22から明らかにトーンアップしたのを実感し、「これなら続けられる」と安心できました。
Q3.当店(キラット)を選ばれた理由はありますか?
実は自宅から小松店までは少し距離があり、通いやすさだけで言えば他のお店も選べました。
それでもキラットを選んだ理由は、口コミの評判の良さです。
「短期間で効果を感じられる」「スタッフが信頼できる」といった利用者の声が多く、初めてでも不安なく通えると感じました。
結果的に、その評判どおりで安心してお任せできました。
Q4.実際に歯が白くなって、どのような生活の変化がありましたか?
最初はS22だった歯が、わずか2ヶ月でS6まで白くなりました。ここまで大きな変化が出るとは想像以上で、本当に驚きました。
今では、歯の黄ばみを気にせず日常生活を楽しめるようになりました。
笑顔で話したり写真に写るときも自然体でいられるようになり、同僚や友人から「印象が明るくなったね」と言われることも増えました。
何より、自分自身が笑顔に自信を持てるようになったことが一番大きな変化だと思います。

F様、この度はKiratt小松店にご来店いただきありがとうございました。
美容や身だしなみに対する意識が高く、真剣に取り組んでくださる姿勢に私も刺激をいただいております。
これからもF様の美しい白い歯をキープできるよう、スタッフ一同しっかりとサポートさせていただきますので、今後ともよろしくお願いいたします。