【Kiratt 富山店】矯正後の仕上げはホワイトニング!痛みもなく効果を実感でき安心しました!
M様 / 20代 / 会社員
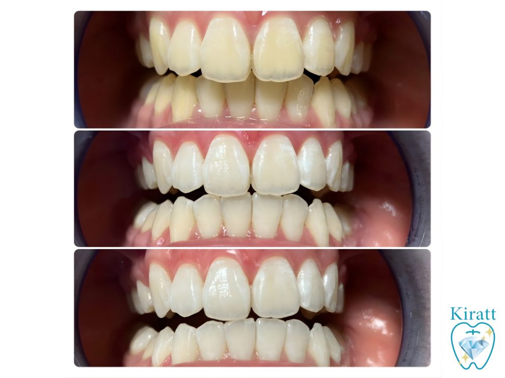
| ホワイトニング | 来店経歴 | 施術メニュー |
|---|---|---|
| はじめて | 1年2ヶ月 | クリスタルホワイトニング |
| コーヒー | タバコ | 結果 |
| 飲まない | 吸わない | S24 → S8~10 |

Q1.ホワイトニングを始めようと思ったきっかけは何ですか?
ずっと矯正をしていて、ようやく歯並びがきれいに整ったことで「次は白さもこだわりたい」と思ったのがスタートでした。
矯正が終わった瞬間から、「せっかくここまで頑張ったなら、さらに綺麗な口元を目指したい」という気持ちが強くなり、ホワイトニングに興味を持ちました。
もともと笑うことは好きだったのですが、歯並びが良くなったことで、今度は色が気になるようになってしまって…。
白い歯ならもっと自信を持って笑える、もっと表情が明るく見えると思い、思い切って始めることにしました。
Q2.ホワイトニングを始める上で、何か不安なことはありましたか?
一番心配だったのは「痛みが出ないかな?」という点でした。
ホワイトニングのイメージとして“しみる”“知覚過敏になる”という話を聞くこともあり、もし強い痛みが出たら続けられないかもしれない…と不安がありました。
でも実際に施術を受けてみると、まったく痛みがなく、「あ、こんなに楽なんだ」と安心できました。
施術中も落ち着いた空間でリラックスできたので、初めてでも無理なく通い続けられた理由の一つだと思います。
Q3.当店(キラット)を選ばれた理由はありますか?
Kirattを知ったきっかけは、SNSとホットペッパーでした。
家で口コミを見ていた時に、仕上がりの写真や「通いやすい」「効果を実感した」という声が多くて、すごく印象が良かったんです。
実際に来店してみると、お店の雰囲気が明るくて清潔感があり、スタッフさんも丁寧に説明してくれるので、「ここなら安心して続けられそう」と感じました。
初回でしっかりトーンアップを実感できたことも決め手になり、気づけば1年以上通わせていただいています。
Q4.実際に歯が白くなって、どのような生活の変化がありましたか?
以前は写真を撮るときに自然と口を閉じていたり、笑う時に口元が気になって思い切り笑えないことがありました。
「せっかく矯正したのに色が気になる…」という葛藤もあったのですが、白くなってからはその悩みがなくなりました。
今では、笑うときに歯を見せることに抵抗がなくなって、表情も気持ちも明るくなった気がします。
周りの人にも「前より明るく見えるね」と言われることが増えて、ホワイトニングを始めて本当に良かったと思っています。

M様、いつもKiratt富山店をご利用いただきありがとうございます。
矯正後の仕上げとしてホワイトニングを選んでいただき、そしてクリスタルホワイトニングの効果をしっかり実感していただけたとのことで、とても嬉しく思っております。
自然なトーンアップが続き、笑顔にさらに自信が持てるようになったというお声は、私たちスタッフにとっても大きな励みです。
今後も、M様の歯をより白く、美しくキープできるよう丁寧にサポートしてまいりますので、気になることがあればいつでもご相談ください。引き続きどうぞよろしくお願いいたします。