【Kiratt 富山店】マスク生活後の「黄ばみが気になる」を解消!口元から、いい感じに。
I様 / 18歳 / 学生
| ホワイトニング | 来店経歴 | 施術メニュー |
|---|---|---|
| はじめて | 6ヶ月 | クリスタルホワイトニング |
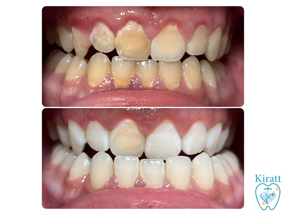
| コーヒー | タバコ | 結果 |
| 飲まない | 吸わない | S34 → S10 |

Q1.ホワイトニングを始めようと思ったきっかけは何ですか?
マスクを外す機会が増え、友達と話したり写真を撮ったりするタイミングで、自分の歯の黄色さが気になるようになりました。
以前はそこまで気にしたことがなかったのですが、ふと鏡を見た時に「思っていたより黄ばんでるかも…」と気づいてしまって。
そこから一度気になると、人と話すたびに意識してしまうようになり、「このままじゃ嫌だな」「もっと清潔感のある口元になりたい」と思い、ホワイトニングを始めることにしました。
「学生のうちに綺麗にしておきたい」という気持ちもあり、思い切ってスタートしました。
Q2.ホワイトニングを始める上で、何か不安なことはありましたか?
正直なところ、不安はすごく大きかったです。
「どれくらい白くなるのかな?」「施術の痛みは大丈夫?」「初めてでも上手くできるかな?」と、知らないことばかりで最初は緊張していました。
でも実際に来店してみると、個室で落ち着いた雰囲気だったこともあり、リラックスして過ごせました。
スタッフの方も丁寧に説明してくれたので、「あ、無理なく続けられそうだな」と安心できたのを覚えています。施術中も痛みはなく、「これなら続けられる」と思えた瞬間でした。
Q3.当店(キラット)を選ばれた理由はありますか?
Kirattを選んだ一番の理由は、ネットでの口コミがとても良かったからです。
「初回からしっかり白くなった」「スタッフさんが丁寧」という声が多くて、初めての自分でも安心できそうだなと感じました。
それから、自宅から徒歩で通える距離だったのも大きかったです。学生なので、アクセスが良いのはとても助かります。
実際に行ってみたら本当に口コミ通りで、1回目の施術から明らかにトーンが上がったので驚きました。「ここなら続けたらもっと良くなる!」という期待が持てたので、そのまま通うことを決めました。
Q4.実際に歯が白くなって、どのような生活の変化がありましたか?
一番変わったのは、“笑うことへの抵抗がなくなった”ことです。
以前は、友達と写真を撮る時や話す時に、無意識のうちに口元を隠す癖がついていました。
でも歯が白くなってからは、自然と笑えるようになり、以前より堂々と人と話せるようになりました。
「なんか印象変わったね!」と言われることが増えて、すごく自信につながっています。今では歯を見せて笑う瞬間が、自分でも好きになりました。

I様、この度はKiratt富山店をご利用いただき誠にありがとうございました。
初めてのホワイトニングで不安も多かったとお聞きしましたが、実際に効果を実感していただき、自然な笑顔に自信が持てるようになったとのお声を伺えて、スタッフ一同とても嬉しく思っております。
学生のうちから白い歯をキープすることは、印象づくりの大きな強みになります。
これからも無理なく続けられるペースでサポートいたしますので、気になることがあればいつでもご相談ください。
I様の笑顔がこれからさらに輝いていくよう、今後も心を込めてお手伝いさせていただきます。どうぞよろしくお願いいたします。