【Kiratt 富山店】富山で歯を白くしたい方必見!キラットで印象が変わるほどの白さを実感した理由とは?
M様 / 20代 / 会社員
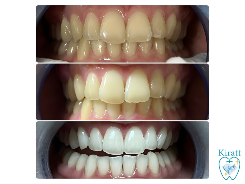
| ホワイトニング | 来店経歴 | 施術メニュー |
|---|---|---|
| はじめて | 10ヶ月 | クリスタルホワイトニング |
| コーヒー | タバコ | 結果 |
| 1〜2杯 / 1週間 | 吸わない | S22 → S6 |

Q1.ホワイトニングを始めようと思ったきっかけは何ですか?
鏡を見るたびに、なんとなく歯の色が気になるようになっていました。
特に人と話すときに相手の歯と自分の歯をつい見比べてしまって、「もう少し白かったらいいのにな…」と思うことが増えていきました。
そういった小さなモヤモヤが積み重なっていき、“思い切って変えてみたい”という気持ちが大きくなったのが、ホワイトニングを始めるきっかけでした。
Q2.ホワイトニングを始める上で、何か不安なことはありましたか?
「白くなりたい」という気持ちは強かったものの、自分が理想としている白さまで本当に近づけるのかな?という点が一番の不安でした。
痛みやしみる感じはあまり気にしていなかったのですが、“効果がどこまで出るか” が気になっていたので、最初の一歩は勇気がいりました。
でも実際にやってみると、思っていたより安心して始められて、続けるハードルも低く感じました。
Q3.当店(キラット)を選ばれた理由はありますか?
決め手は、なんといっても 初回でしっかり白さを実感できたこと でした。
「1回でこんなに変わるんだ」と驚きつつ、“次はもっと白くなるかも”と期待がどんどん大きくなりました。そのワクワク感が、通ってみようと思えた理由です。
店内の雰囲気も明るくて通いやすく、スタッフさんも丁寧だったので、自然と続けられています。
Q4.実際に歯が白くなって、どのような生活の変化がありましたか?
以前はあまり意識していなかったのですが、最近は周りの人が自分の口元を見ているのが分かる瞬間があります。
そのときに「何か印象変わったね」「歯きれいになったね」と言ってもらえることが増えて、とても嬉しく感じています。
人前での会話や笑顔に自然と自信が持てるようになって、“ちょっとした変化なのに、気持ちがこんなに明るくなるんだな”と実感しています。

M様、この度はKiratt富山店にご来店いただき誠にありがとうございます。
初回からしっかり白さをご実感いただけて、その後も継続して通ってくださっていること、本当に嬉しく思います。
理想の白さを目指したいというお気持ちに寄り添いながら、回数を重ねるごとに透明感のあるキレイな白さに近づいているのを私たちも実感しています。
周囲の方から「印象が変わった」と言われるほどの変化は、M様がコツコツ通ってくださっている結果です。
これからも無理のないペースで、より輝く笑顔へサポートさせていただきますね。今後ともどうぞよろしくお願いいたします。