【Kiratt 富山店】マスクを外しても安心!ふとした笑顔が、自然と明るくなる白さへ
K様 / 21歳 / 会社員
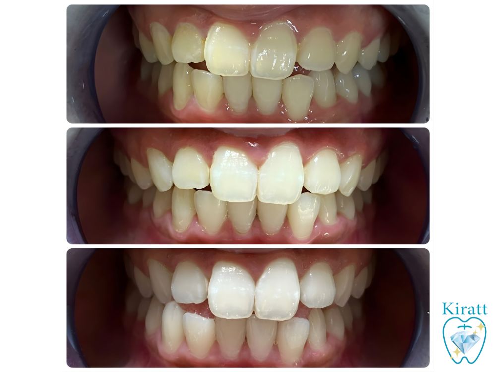
| ホワイトニング | 来店経歴 | 施術メニュー |
|---|---|---|
| はじめて | 1年3ヶ月 | クリスタルホワイトニング |
| コーヒー | タバコ | 結果 |
| 3杯 / 1週間 | 吸わない | S22 → S6〜8 |

Q1.ホワイトニングを始めようと思ったきっかけは何ですか?
マスクを外す機会が増えてきたことで、自分の口元を見ることが前よりも多くなりました。
ある日、ふと鏡を見たとき、「思っていたより歯って黄色いかも…」と感じた瞬間があり、その一度の気づきがずっと頭に残っていました。
人と話すときもどこか遠慮がちに笑ってしまったり、写真を撮るときも口を開けるのをためらってしまったり…。
「もっと自然に、もっと自信を持って笑いたい」そう思うようになり、ホワイトニングを始めることを決意しました。
Q2.ホワイトニングを始める上で、何か不安なことはありましたか?
ホワイトニング自体が初めてだったので、やっぱり不安はありました。
どれくらい白くなるのか、見た目の印象が実際に変わるのか、そして施術中に痛みが出ないのか…。特に「痛みが出やすい」という話を聞いたことがあったので、そこが一番気になる部分でした。
でも、実際に説明を受けてみると丁寧で分かりやすく、施術の流れや痛みの有無についてもきちんと教えてくれたので、安心してスタートできました。
結果的に痛みもなく、気持ちの面でも負担なく続けることができています。
Q3.当店(キラット)を選ばれた理由はありますか?
最初はホームページを見て「なんだか良さそう」という軽い気持ちだったのですが、見ていくうちに実際のお客様のBefore/Afterや通いやすさ、料金などがしっかり載っていて安心感がありました。
家から近くて通いやすいことも大きなポイントで、「続けるなら負担の少ない場所がいいな」と思っていたので、条件にもぴったりでした。
そして決め手となったのは、お試しで受けた施術の変化です。しっかり白さを実感できて、「本当に変わるんだ!」とワクワクした気持ちになり、迷わずここに決めました。
Q4.実際に歯が白くなって、どのような生活の変化がありましたか?
今までは鏡を見るたびに「ちょっと黄色いな」と思うことがクセのようになっていたのですが、最近では「白くなってきた!」と前向きな気持ちで鏡を見られるようになりました。
仕事中はマスクをしているので周りからは見えませんが、家で家族から「前より白くなったね」と言われた時はすごく嬉しかったです。
自分では気づきにくい変化でも、周りに気づいてもらえるとやっぱり自信に繋がります。「ふとした瞬間の笑顔」が自然に明るくなった気がしていて、以前よりも前向きに毎日を過ごせています。

K様、この度はKiratt富山店にご来店いただき誠にありがとうございます。
初めてのホワイトニングで不安もあった中、勇気を出してスタートされ、しっかり白さをご実感いただけて本当に嬉しく思います。
鏡を見るたびに前向きな気持ちになれたり、ご家族にも変化が伝わったとのこと、私たちも同じように明るい気持ちになりました。
通うたび少しずつトーンアップしていくK様の歯は、透明感も増してとても綺麗です。
今後も無理のないペースで理想の白さをキープできるよう、しっかりサポートしていきますので、ぜひ気軽に通っていただければと思います。
これからもK様が毎日笑顔で過ごせるよう、心を込めてサロン作りとサポートをさせていただきます。次回のご来店も楽しみにお待ちしております。