【Kiratt 富山店】ホワイトニング初心者でも安心!歯のビフォーアフターがくれた前向きな一歩
T様 / 23歳 / 看護師
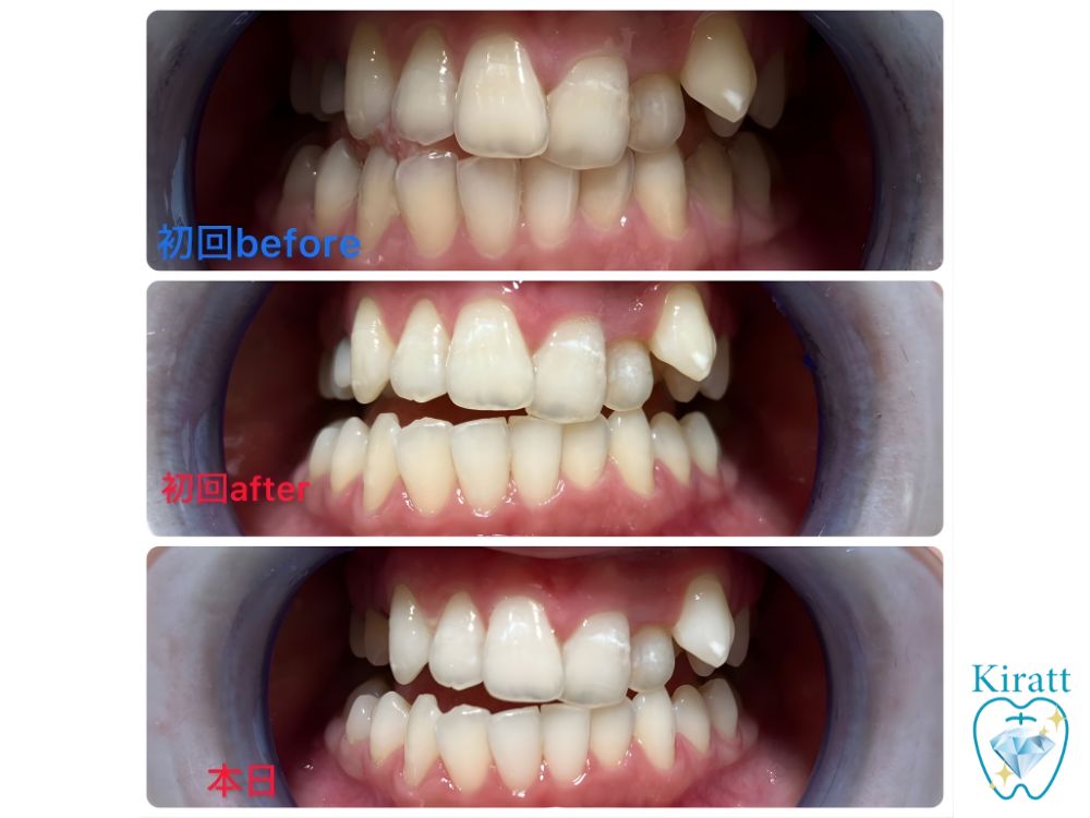
| ホワイトニング | 来店経歴 | 施術メニュー |
|---|---|---|
| はじめて | 6ヶ月 | クリスタルホワイトニング |
| コーヒー | タバコ | 結果 |
| 飲まない | 吸わない | S18 → S8 |

Q1.ホワイトニングを始めようと思ったきっかけは何ですか?
ずっと前から、自分の歯の黄ばみが写真に写るたびに気になっていました。
看護師という仕事柄、清潔感も大切にしたいなと思っていたので、ずっと「いつかホワイトニングしたい」と思いながらも、タイミングが掴めずにいました。
そんなときにインスタでKirattさんの歯のビフォーアフターを見かけて、実際に白くなっている変化に驚きました。「あ、私もここなら変われるかもしれない」と前向きな気持ちになり、思い切って予約しました。
通ってみたら、毎回の変化が楽しみになって、今では来店がちょっとした自分へのご褒美みたいになっています。
Q2.ホワイトニングを始める上で、何か不安なことはありましたか?
「セルフ」と聞いた瞬間、最初は正直ちょっと不安がありました。
「本当に私でもちゃんとできるのかな?」「操作が難しかったらどうしよう…」という気持ちがありましたが、実際にサロンで説明を受けてみると想像以上に簡単で、すぐ慣れることができました。
痛みもなく、スタッフさんのサポートも優しくて、気になることがあればすぐ教えてもらえるので安心して続けられています。自分のペースで無理なく続けられるのも、とても気に入っているポイントです。
Q3.当店(キラット)を選ばれた理由はありますか?
一番大きかったのは、自分自身の歯のビフォーアフターの変化に手応えを感じられたことです。
最初の数回で明らかにトーンが上がって、「これなら理想の白さに近づけそう!」と思えました。セルフなのにここまで変わると思っていなかったので、本当にびっくりしました。
サロンの雰囲気も、まるでちょっとしたエステみたいで落ち着くのも嬉しいです。料金も通いやすい設定だったので、「これならちゃんと続けられる」と思えました。
清潔感があって居心地も良く、ここに決めて本当に良かったと感じています。
Q4.実際に歯が白くなって、どのような生活の変化がありましたか?
仕事中はずっとマスクをしているので、周りにはあまり気付かれていないと思うんですが、鏡を見ると自分でははっきり変化がわかるんです。
ふとしたタイミングで自撮りをしたときや、家でメイクの最終チェックをするときなど、前より歯が明るく見えて、気持ちまで前向きになります。
「誰にも気付かれていないけど、自分の中でこっそりキレイが育ってる」感じがすごく嬉しくて、じわじわ自信が湧いてきています。

T様、この度はKiratt富山店にご来店いただき、誠にありがとうございました。
初めてのホワイトニングで不安もあった中、「続けたい」と思っていただけるほど効果を感じていただけたこと、とても嬉しく思います。
ご自身の歯のビフォーアフターに前向きな気持ちを持ってくださっているのが伝わり、スタッフ一同励みになっております。
お仕事柄マスクの時間が長いとのことですが、鏡の中の変化をご自身がしっかり実感できているのは、継続してケアしてくださっているおかげです。“こっそりキレイ”を積み重ねていく時間は、心も明るくしてくれますよね。
T様の理想の白さにさらに近づけるよう、今後もしっかりサポートさせていただきます。またのご来店を心よりお待ちしております。