【Kiratt 富山店】痛みなしでここまで白くなる!クリスタルホワイトニングで笑顔まで明るくなれました!
H様 / 32歳 / 会社員
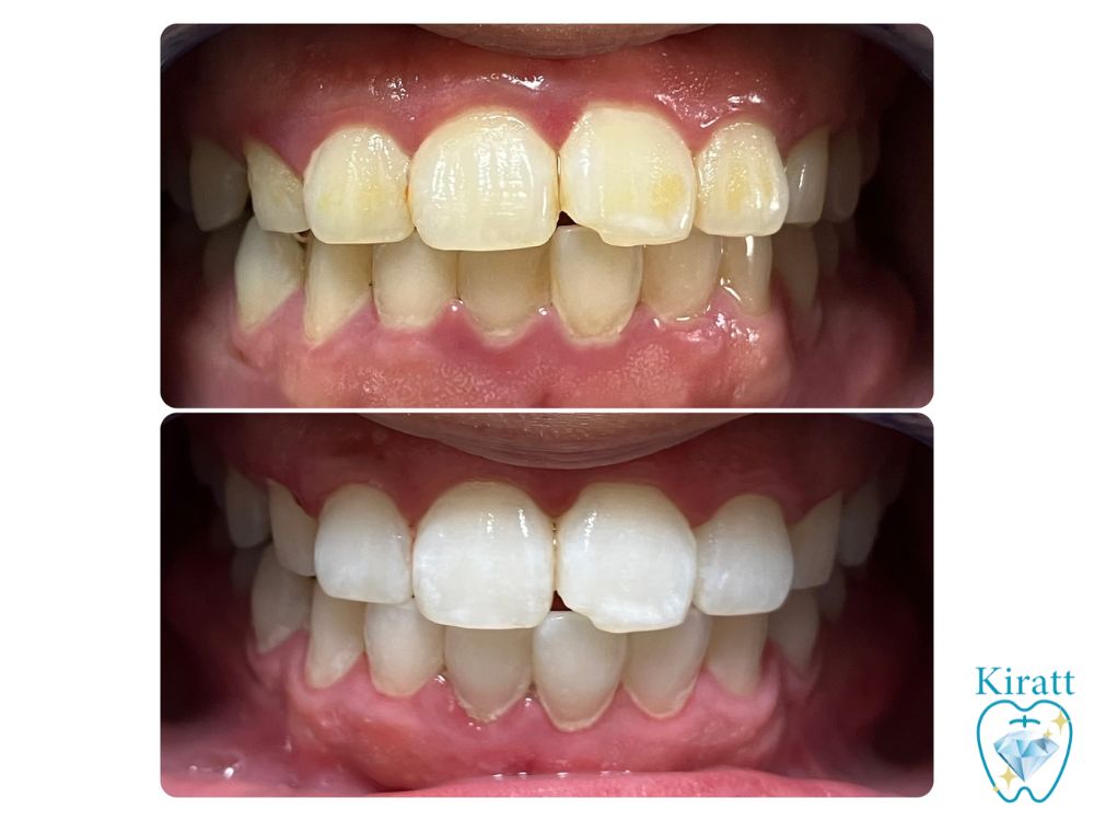
| ホワイトニング | 来店経歴 | 施術メニュー |
|---|---|---|
| セルフホワイトニング経験あり | 8ヶ月 | クリスタルホワイトニング |
| コーヒー | タバコ | 結果 |
| 飲まない | 吸わない | S22 → S6〜8 |

Q1.ホワイトニングを始めようと思ったきっかけは何ですか?
白い歯をキープしたいという気持ちがずっとあって、Webで色々と探していたときにこちらを見つけました。
以前ホワイトニングをしたときにS6〜8くらいまで白くなった経験があったので、「またあのくらいまで戻したいな」という思いが強かったです。
それから、日常の中でふとした瞬間に鏡を見るたび、前より少し黄ばみが気になると感じることが増えてきて…。せっかくなら早めにケアしたいと思い、思い切って通い始めました。
実際に施術を重ねるごとに白さが戻っていくのを見ると、やっぱりホワイトニングを始めてよかったなと感じています。
Q2.ホワイトニングを始める上で、何か不安なことはありましたか?
以前セルフホワイトニングを経験していたこともあって、大きな不安はありませんでした。
やり方や流れもなんとなくイメージがついていたので、今回もスムーズに始められました。
むしろ「早く白さを取り戻したい」という気持ちの方が強くて、サロンに来ることが楽しみになっていました。
ホワイトニングをすると、やっぱり気持ちも明るくなりますし、歯が白くなっていく実感があると、「もっと頑張ろう」と前向きな気持ちになりますね。
Q3.当店(キラット)を選ばれた理由はありますか?
クリスタルホワイトニングの白くなる実感がしっかりあって、通ってよかったと思いました。
セルフなのに想像以上にトーンアップしていて、「こんなに変わるんだ」と驚いたくらいです。
自然な白さよりもさらに明るいトーンまでしっかり引き上がって、鏡を見るたびに嬉しくなります。
痛みもまったくなくて安心して続けられるので、このまま自分のペースで通っていけそうだなと感じています。料金も無理なく通える範囲で、継続しやすいのも魅力でした。
Q4.実際に歯が白くなって、どのような生活の変化がありましたか?
歯が白くなっていくにつれて、周りの人から「いいな〜!」「めっちゃ白くなった!」と言われることが増えました。
褒められるとやっぱり嬉しくて、「続けてよかった」と心から思えます。思っていた以上に白くなったので、笑うときも自然に歯を見せられるようになりました。
白い歯って、気分まで明るくしてくれるんだなと最近つくづく感じています。今ではホワイトニングが生活の中の楽しみの一つになっています。

H様、この度はKiratt富山店をご利用いただき、誠にありがとうございました。
回数を重ねるたびに白さだけでなく艶感まで増しており、私たちも施術のたびにその変化を嬉しく拝見しておりました。
痛みもなく順調に続けていただけている点も、スタッフとしてとても安心しております。
今後も、H様にとって自然で上品な白さを保てるよう、サロンとしてしっかりサポートさせていただきます。これからもどうぞよろしくお願いいたします。