【Kiratt 富山店】娘に紹介されホワイトニング!白い歯でマスクなし生活に自信が持てました!
S様 / 59歳 / 会社員
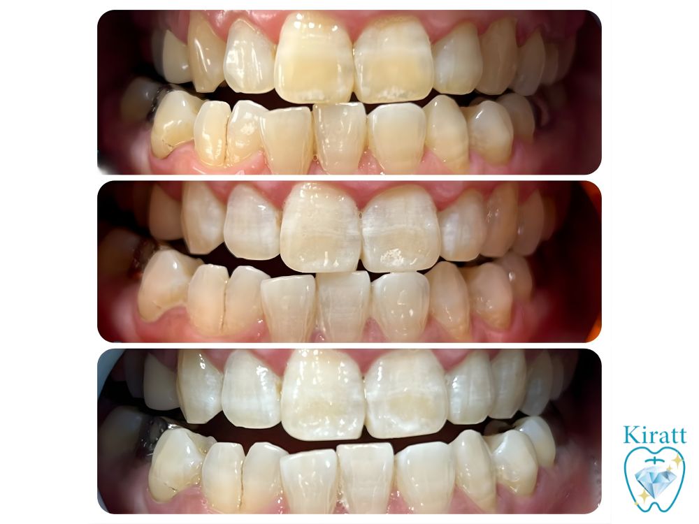
| ホワイトニング | 来店経歴 | 施術メニュー |
|---|---|---|
| はじめて | 7ヶ月 | クリスタルホワイトニング |
| コーヒー | タバコ | 結果 |
| 3杯 / 1日 | 吸わない | S38 → S8 |

Q1.ホワイトニングを始めようと思ったきっかけは何ですか?
年齢を重ねるにつれて、徐々に歯の黄ばみが目立つようになり、「昔よりも老けて見えるかもしれない」と気になるようになっていました。
さらにコロナが明け、会社の方針でマスクを外す生活に戻ったことで、口元を見られる機会が急に増え、より気になるように。
もともとコーヒーをよく飲むため、“黄ばみは仕方ない”と半ば諦めていたのですが、ホワイトニングをした娘がどんどん歯が白くなっていく姿を見て「私もやってみたい」という気持ちが強くなりました。
娘から紹介してもらったことが、ホワイトニングを始める決め手になりました。
Q2.ホワイトニングを始める上で、何か不安なことはありましたか?
最も不安だったのは、元々歯茎が弱く、歯磨きの際に出血することもあるほどデリケートだった点です。
その状態でライトを当てる施術に耐えられるのか、悪化しないのか心配でした。また、銀歯の近くに着色がある部分について「改善できるのだろうか?」という不安もありました。
しかし、事前のカウンセリングで丁寧に説明していただき、強い薬剤を使用しないこと、痛みが出にくい施術であることを知り、不安が和らぎました。実際に施術を受けても痛みや刺激は全くなく、安心して続けられています。
Q3.当店(キラット)を選ばれた理由はありますか?
娘から紹介されたことはもちろん大きな理由ですが、娘自身がしっかりと効果を実感していたので、信頼感がありました。
また、実際に来店してみるとスタッフの方々の対応がとても丁寧で、初めての私に対しても分かりやすく説明をしてくれて安心できました。
店内も明るく清潔感があり、リラックスした雰囲気の中で施術が受けられる点も魅力でした。お店の印象の良さも、継続して通えた理由の一つです。
Q4.実際に歯が白くなって、どのような生活の変化がありましたか?
鏡を見るたびに自分の歯が白くなっているのが分かり、気持ちが明るくなりました。
特に会社では、マスクを外す場面でも以前ほど気にすることがなくなり、自然と笑顔が増えたように思います。
娘からも「白くなったね」「若く見えるよ」と言われたのがとても嬉しく、自信につながりました。
さらに、ホームケアトリートメントを使い始めてからは、長年悩んでいた歯垢の付きやすさが改善され、ホワイトニング以外のうれしい変化も実感しています。まさに一石二鳥で、大満足です。

S様、いつもKiratt富山店をご利用いただき誠にありがとうございます。
初回は歯茎の状態や銀歯周りの着色について不安なお気持ちもあったかと思いますが、回数を重ねるたびに白さがしっかり表れ、トーンアップしていく様子を私たちも嬉しく見守っておりました。
S様ご自身の生活習慣の見直しやホームケアの継続が、より良い結果につながったのだと思います。
マスクを外す場面でも自信を持って笑えるようになったとのことで、スタッフ一同とても励みになっています。
これからもS様の口元がより美しく、健康的に輝き続けるよう全力でサポートさせていただきます。今後ともよろしくお願いいたします。