【Kiratt 富山店】学生の頃から気になっていた黄ばみが、ホワイトニングで白い歯になりました!
O様 / 20歳 / OL
| ホワイトニング | 来店経歴 | 施術メニュー |
|---|---|---|
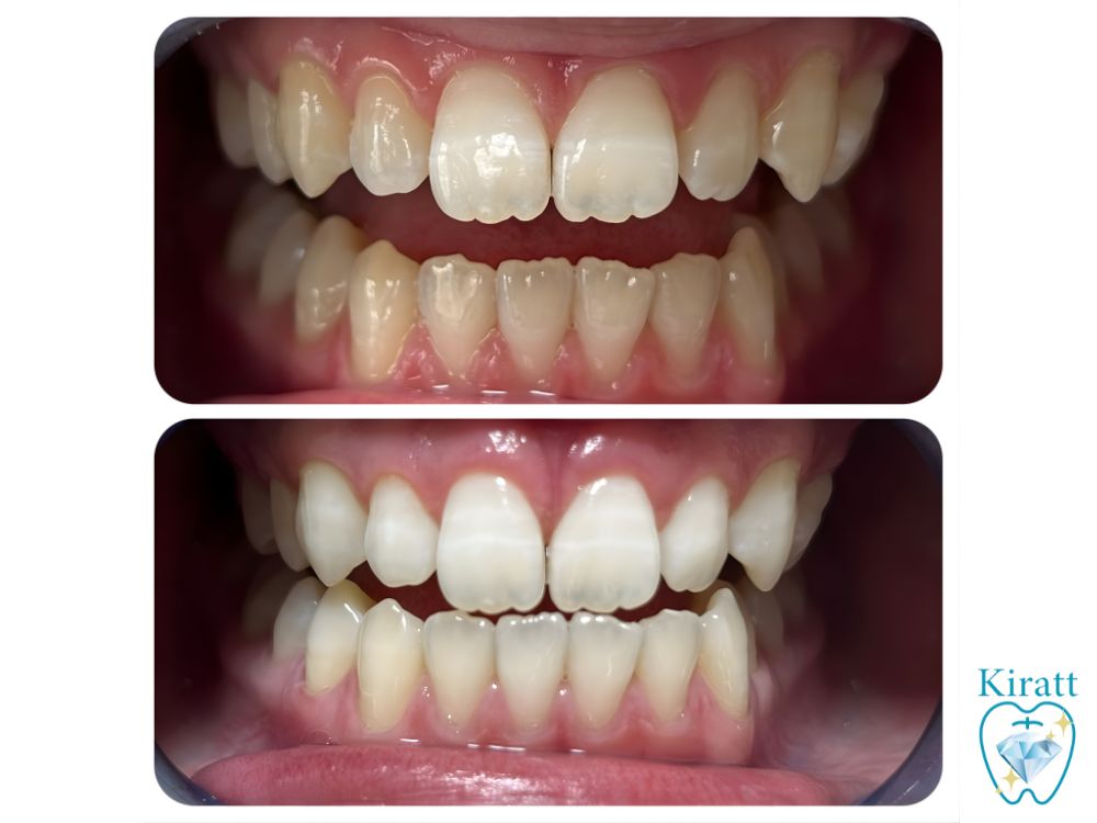
| はじめて | 6ヶ月 | クリスタルホワイトニング |
| コーヒー | タバコ | 結果 |
| 飲まない | 吸わない | S32 → S6 |

Q1.ホワイトニングを始めようと思ったきっかけは何ですか?
学生の頃から、鏡を見るたびに歯の黄ばみがずっと気になっていました
特に友達と写真を撮る時や、人前で話す時に「口元だけが浮いてしまうような感覚」があり、自分の笑顔に自信が持てずにいました。
社会人になり、身だしなみや美容にきちんとお金をかけられるようになったことで、「このタイミングでずっと気になっていた歯の黄ばみを改善したい」と思い、ホワイトニングを始めることを決意しました。
周りの同僚も美容に気をつけている人が多いので、「白い歯で印象をもっとよくしたい」という気持ちも背中を押してくれました。
Q2.ホワイトニングを始める上で、何か不安なことはありましたか?
正直、最初は不安でした。ホワイトニングのイメージといえば、「痛そう」「どのくらい白くなるか分からない」「すごく高そう」というもので、なかなか踏み出せずにいました。
でも、Kiratt富山店では施術前に歯科衛生士さんが丁寧にカウンセリングしてくれて、自分の歯の状態やどこまで白くなる可能性があるのかをしっかり説明してくださったので、不安が一気に軽くなりました。
施術方法も痛みに配慮されているとのことで、実際に受けてみると本当に痛みはなく、「こんなに安心してできるなら、もっと早く来ればよかった」と感じたほどです。
Q3.当店(キラット)を選ばれた理由はありますか?
ホワイトニングサロンをいろいろ調べていた時、「富山 ホワイトニング」で検索したらKiratt富山店が上位に出てきて、口コミ評価もとても高かったのが気になりました。
さらに、自宅から通いやすい立地だったことも大きな理由です。
ホームページやSNSを見ても施術実績が多く、「ここなら長年の黄ばみも改善できそう」という信頼感があり、Kiratt富山店を選びました。
Q4.実際に歯が白くなって、どのような生活の変化がありましたか?
毎回の施術で白さをどんどん実感できるのが本当に嬉しいです。
特にS32 → S6までトーンアップした時は、鏡を見るたびに「こんなに白くなるんだ…!」と感動しました。
さらに、スタッフさんがとても親切で施術自体も痛みがなく、時間も短いので仕事終わりでも気軽に通えています。
歯が白くなると、笑顔に自信が持てるようになり、写真を撮るのも前より楽しくなりました。
職場でも「歯白くなった?」と声をかけられることが増え、自分の中での小さなコンプレックスが一つなくなったような感覚です。これからも白さを維持したいので、引き続き通う予定です!

O様、この度はKiratt富山店にご来店いただき誠にありがとうございます。
学生時代から気になっていた黄ばみが、クリスタルホワイトニングによってしっかりとトーンアップし、S32→S6という大きな変化を実感していただけて、私たちもとても嬉しいです。
施術中も楽しくお話しさせていただき、いつも明るい笑顔でご来店くださるO様にお会いすることをスタッフ一同楽しみにしております♪
今後も白さをキープできるよう、ホームケアのアドバイスも含めて全力でサポートさせていただきますので、一緒に理想の口元を維持していきましょう!