【Kiratt 高岡店】お試しから想像以上の白さへ!接客の自信と信頼を勝ち取る第一印象アップデート
K様/医療従事者/30代
| ホワイトニング | 来店経歴 | 施術メニュー |
|---|---|---|
| オフィスあり | 1年半 | クリスタルホワイトニング |
| コーヒー | タバコ | 結果 |
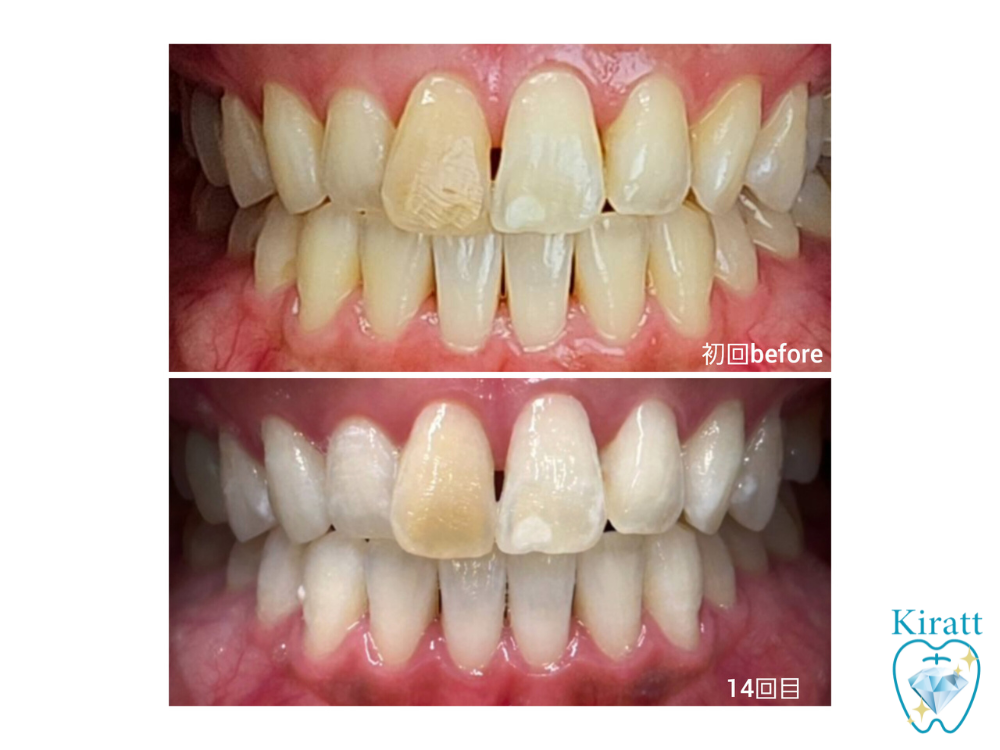
| 1杯/週 | 吸わない | S28→S6 |

Q1.ホワイトニングを始めようと思ったきっかけは何ですか?
友人や家族と一緒に撮った写真を見返した際、自分の歯の黄ばみが想像以上に目立っていることに驚き、ショックを受けたのが始まりでした。
一度気になりだすと、次に写真を撮る時も無意識に口元を隠してしまったり、思い切り笑えなかったりする自分に気づき、このコンプレックスを解消して自信を取り戻したいと強く思ったのがホワイトニングを始めたきっかけです。
「写真の中でもっと自分らしく、輝く笑顔で写りたい」という願いが、サロンを予約する大きな原動力になりました。
Q2.ホワイトニングを始める上で、何か不安なことはありましたか?
やはり一番の不安は、具体的にどれくらいの金額がかかるのかということと、その費用に見合うだけの確かな効果が本当に出るのかということでした。
自分にとって納得感のある投資になるか少し迷いもありましたが、カウンセリングで詳しい説明を聞いたことで全ての疑問が解消され、ここなら信頼できると確信してコースで続けることを決めました。
スタッフの方が親身にプランを提案してくださったおかげで、無理なく自分のペースで理想を目指せるという安心感を持つことができました。
Q3.当店(キラット)を選ばれた理由はありますか?
まずはWeb検索で近くのホワイトニングサロンを探していたところ、Kirattさんのサイトを見つけたのがきっかけです。
最初は半信半疑な部分もありましたが、お試しのつもりで受けた「初回クリスタルホワイトニング」で、想像していた以上の白さを一気に実感できたことが最大の決め手となりました。
たった一回でこれだけ変化が出るなら、しっかりとコースで通えばもっと理想に近づけると感じ、迷うことなく通うことを決めました。
Q4.実際に歯が白くなって、どのような生活の変化がありましたか?
自分自身で鏡を見るのが楽しみになっただけでなく、周りの人からも「歯がすごく白いね!」と褒められることが増えました。
以前は写真に写る自分の口元が気になって自信が持てずにいましたが、今では誰に対しても堂々と笑顔を見せられるようになり、心から嬉しい気持ちでいっぱいです。
「白くなったね」という言葉が自信に繋がり、毎日の生活がこれまで以上にポジティブで明るいものに変わりました。

K様いつもKiratt 高岡店をご利用いただきありがとうございます。
お写真に写るご自身の歯の色が気になったことをきっかけに、ホワイトニングをスタートされたK様。
今ではS6の美しい白さをしっかりキープされており、定期的なメンテナンスを継続してくださっています。
歯が白くなることで笑顔の印象もぐっと明るくなり、日常の自信にもつながります。
これからも白さを安心して維持できるよう、しっかりサポートさせていただきます。
今後ともKiratt 高岡店をよろしくお願いいたします。