【Kiratt 塩釜店】大好きなカレーも気にせず!塩釜店のホワイトニングで歯の黄ばみをリセット
K様/30代/会社員
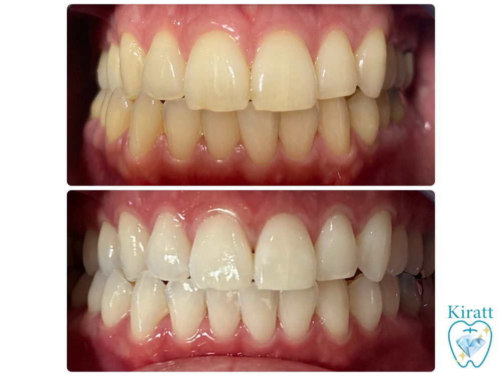
| ホワイトニング | 来店経歴 | 施術メニュー |
|---|---|---|
| はじめて | 1年半 | クリスタルホワイトニング |
| コーヒー | タバコ | 結果 |
| 1杯/1日 | なし | S26→S8 |

Q1.ホワイトニングを始めようと思ったきっかけは何ですか?
歯の黄ばみが気になってきたとき、知人からホワイトニングサロンKiratt塩釜店を紹介してもらったのがきっかけで通い始めました。
黄ばんだ歯を改善したいという思いと、信頼できるサロンの紹介だったこともあり、安心して施術を受けられると思いました。
Q2.ホワイトニングを始める上で、何か不安なことはありましたか?
ホワイトニングを始めるにあたり、料金がどのくらいかかるのか、施術にかかる期間はどれくらいか、そして継続して通えるかどうかなど、いくつかの不安がありました。
しかし、塩釜のホワイトニングサロンKirattでは、初回カウンセリングで丁寧に説明してもらえたため、安心して施術を受けられると思いました。
Q3.当店(キラット)を選ばれた理由はありますか?
自宅や職場から通いやすい場所にあることと、知人がすでに通って効果を実感していたことが決め手となり、JR東塩釜駅から徒歩3分のホワイトニングサロンKiratt塩釜店に通うことにしました。
アクセスが便利で信頼できるサロンだったので、初めてでも安心して施術を始められました。
Q4.実際に歯が白くなって、どのような生活の変化がありましたか?
オンライン会議で自分の歯を見たとき、白くなって笑顔に自信が持てました。
周りの方からも「歯が白くていいね!」と褒められることが増え、自然と笑う回数も増えました。
現在は月1回のメンテナンスで理想の白さをキープしており、大好きなカレーも気にせず楽しめています。
塩釜のホワイトニングサロンKirattで定期的にケアをすることで、毎日自信ある笑顔で過ごせるようになりました。

K様いつもご利用いただきありがとうございます。
月1回のメンテナンスでS8の白さをキープしながら、大好きなカレーを食べても黄ばみをリセットできるので安心です。
自分の歯が白くなって笑顔に自信が持てた瞬間には、私たちスタッフもつい笑顔になってしまいました。
これからも塩釜のホワイトニングサロンKirattでしっかりサポートさせていただきますので、引き続きよろしくお願いいたします。