【Kiratt 柏店】コーヒーの黄ばみが気になっていた私が、通うたびに歯の白さを実感!

ホワイトニングサロンKiratt 柏店 お客様写真

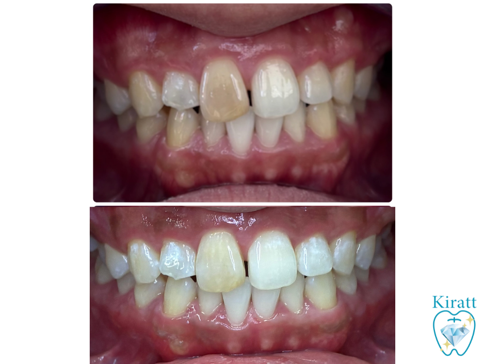
N様/26歳(20代)/会社員

ホワイトニング 来店経歴 施術メニュー
経験なし 3回目 クリスタルホワイトニング
コーヒー タバコ 結果
1杯/日 吸わない S38→S14

Q1.ホワイトニングを始めようと思ったきっかけは何ですか?

以前からコーヒーをよく飲む習慣があり、鏡を見るたびに歯が黄ばんできているのが気になって悩んでいました。

毎日の楽しみは大切にしたいものの、蓄積された着色汚れのせいで口元に清潔感がないように感じてしまい、好きなものを楽しみながらも、本来の白さを取り戻して自信を持ちたいと思ったのが来店を決めたきっかけです。

セルフケアだけではなかなか落ちない汚れをしっかり落として、また心置きなくコーヒーを楽しみつつ、綺麗な口元を維持したいという思いが強くなりました。

Q2.ホワイトニングを始める上で、何か不安なことはありましたか?

ホワイトニングに関する知識が全くなかったため、自分のような初心者でも大丈夫なのかという漠然とした不安が数多くありました。

具体的にどのような手順で進めるのか、また自分の生活スタイルに合った通い方ができるのかなど、右も左もわからない状態でしたが、丁寧なカウンセリングで一から分かりやすく説明していただけたことで、疑問が解消され安心して一歩を踏み出すことができました。

専門的な知識を持ったスタッフの方に直接お話を聞けたことで、始める前の心理的なハードルがぐっと下がったと感じています。

Q3.当店(キラット)を選ばれた理由はありますか?

ホワイトニングを調べていた際、ネットでたまたま目についてからずっと気になっていました。

掲載されていた写真や情報が分かりやすく、自分の悩みを解決してくれそうな直感があったため、まずは一度自分の目で確かめてみようと思い、他のサロンと迷うことなくこちらへ伺うことを決めました。

実際に来店してみると、ネットでの印象通り親しみやすい雰囲気だったので、ここなら通い続けられそうだと感じたことが最終的な決め手となりました。

Q4.実際に歯が白くなって、どのような生活の変化がありましたか?

通うたびに自分の歯が着実に白くなっていくのを鏡で見て実感できるため、日常のふとした瞬間にも自然と気分が上がります。

大好きなコーヒーを楽しみながらも、理想の白さに近づいているという充実感があるおかげで、自分自身のケアに対する意識も変わり、私生活においても前向きで明るい気持ちで過ごせる時間が増えました。

目に見える変化が自信に繋がり、これからもこの綺麗な状態を維持していきたいという楽しみが一つ増えたと感じています。

   
柏店スタッフからの一言

この度は嬉しい口コミをありがとうございます!

数あるサロンの中から当店を見つけていただき、勇気を出して一歩踏み出していただけたこと、心から嬉しく思っております!

回数を重ねるごとに歯の白さを実感していただけているとのお言葉、スタッフ一同大変励みになります。 知識がない中でのスタートでしたが、今では通うたびに変化を楽しんでいただけて何よりです。

これからも大好きなコーヒーを楽しみながら、理想の白さを安心してキープしていただけるよう、しっかりサポートさせていただきます。またのご来店を心よりお待ちしております。