【Kiratt 金沢店】ホワイトニングで歯が白くなり“笑顔に自信”!写真写りも印象もアップ

ホワイトニングサロンKiratt 金沢店 お客様写真

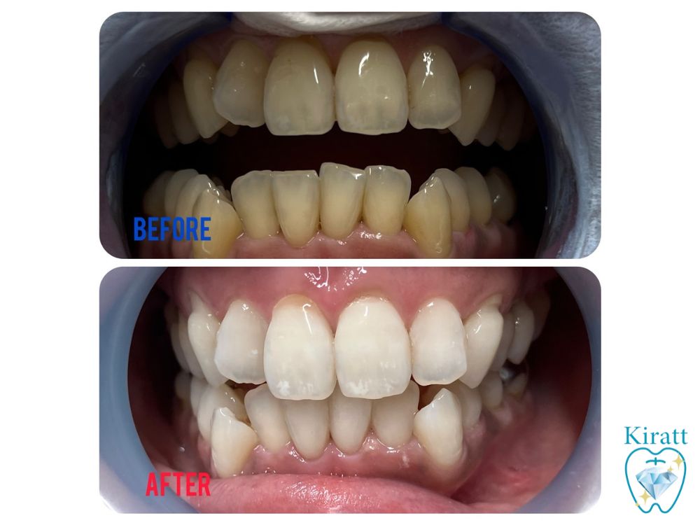
O様/40代/会社員

ホワイトニング 来店経歴 施術メニュー
経験あり 2年 クリスタル
コーヒー タバコ 結果
1日/2杯  吸わない S30→S6

Q1.ホワイトニングを始めようと思ったきっかけは何ですか?

コロナが収まりマスクを外す機会が増えたことで、自分の歯の黄ばみが気になる瞬間が増えてきました

写真を撮ったり、友人と話すときにふと「もっと口元に自信を持ちたい…」と思うようになり、本気でホワイトニングを考えるように。

そこで、金沢でホワイトニングサロンを調べていたところ、口コミ評価が高く“効果を実感できる”と話題のKiratt金沢店を見つけました。

「ここなら信頼して任せられそう!」と感じ、ホワイトニングデビューを決意しました。

Q2.ホワイトニングを始める上で、何か不安なことはありましたか?

初めてのホワイトニングで、痛みがあるのではないか、本当に歯が白くなるのかと少し不安を感じていました。

しかし、Kirattのクリスタルホワイトニングを体験してみると、施術直後からしっかり白さを実感でき、リラックスして受けられたので安心しました。

Q3.当店(キラット)を選ばれた理由はありますか?

個室は清潔感があり、落ち着いて施術を受けられる空間で、周りの目を気にせずリラックスできました。

スタッフの方々もとても明るく親切で、初めてのホワイトニングでも安心して通えるサロンだと感じました。

さらに、金沢でホワイトニングを探している方におすすめできる居心地の良さも魅力です。

Q4.実際に歯が白くなって、どのような生活の変化がありましたか?

コーヒーやお茶を飲んだ後にはお水を飲むなど、着色に気をつける習慣が身につきました。

歯の色が気になるという小さなコンプレックスも解消され、自然に笑える自信のある笑顔を手に入れることができました。

これにより、写真を撮る時や人と会う時も前向きな気持ちで過ごせるようになりました。

   
金沢店スタッフからの一言

O様、この度はご縁あって当ホワイトニングサロンKiratt金沢店にご来店いただきありがとうございました♪

いつも楽しいお話を聞かせていただき、スタッフ一同とても嬉しく思っています。

回数を重ねて通ってくださったおかげで、理想の歯のトーンを超える白さをキープできており、私たちも大変喜んでおります。

これからもO様の白く美しい歯を維持できるよう、全力でサポートさせていただきます。今後ともよろしくお願いいたします!