【Kiratt 金沢店】歯の白さで思いっきり笑顔に自信UP!金沢でホワイトニングした内容を紹介!
H様/20代/会社員
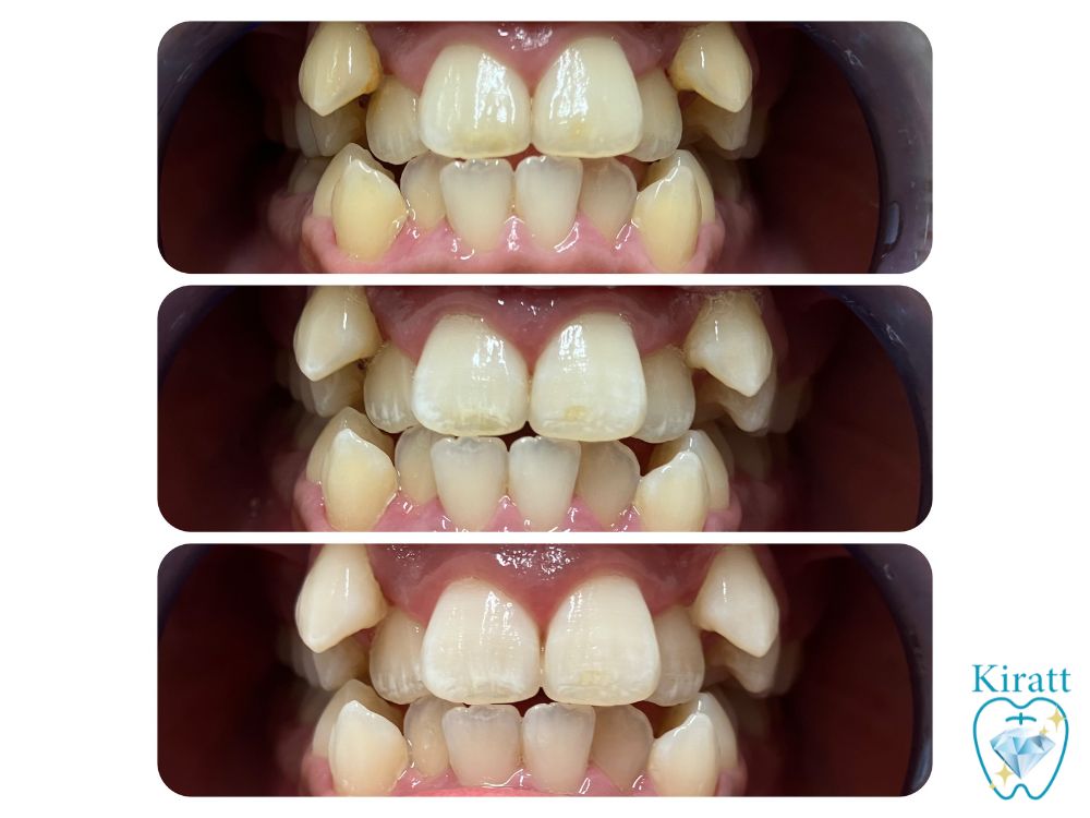
| ホワイトニング | 来店経歴 | 施術メニュー |
|---|---|---|
| 経験なし | 3ヶ月 | クリスタルホワイトニング |
| コーヒー | タバコ | 結果 |
| 飲まない(お茶を飲む) | 吸う(電子タバコ) | S22→S6 |

Q1.ホワイトニングを始めようと思ったきっかけは何ですか?
もともと歯の黄ばみが気になっており、写真を撮るたびに思いっきり笑えず、自分の笑顔に自信が持てないこともありました。
そんな中、「金沢で評判のホワイトニングサロンKiratt」に通って歯が白くなった友人から紹介を受けたのがきっかけです。
プロの施術で安心して歯を白くしたいという気持ちが強くなり、思い切って来店を決めました。
Q2.ホワイトニングを始める上で、何か不安なことはありましたか?
初めてのホワイトニングだったので少しドキドキしましたが、友人からの紹介で安心感がありました。
実際に来店してみると、スタッフの丁寧な説明やサロンの雰囲気が安心できるため、大きな不安なく施術を受けることができました。
初めてでもリラックスして通える環境だったのが印象的です。
Q3.当店(キラット)を選ばれた理由はありますか?
歯がとても白くて綺麗な友人にどこでホワイトニングをしているのか尋ねたところ、「Kirattでホワイトニングを受けているよ」と教えてもらいました。
Web検索で口コミや評判を確認すると、高評価で安心して通えるサロンだとわかり、さらにサロンの雰囲気も通いやすく、ここに決めることにしました。
Q4.実際に歯が白くなって、どのような生活の変化がありましたか?
1回目の施術からすぐに歯の白さを実感でき、5回目には理想のトーンまでトーンアップしました。
これにより、黄ばみを気にせず思いっきり笑える自信がつき、写真を撮るのも楽しくなりました。
これからも、白さをしっかりキープできるよう定期的に通い続けたいと思います。

H様、この度はご縁あってKiratt金沢店にご来店いただきありがとうございました。
ご友人のような白く美しい歯になりたいとのことで通っていただき、しっかりとトーンアップできましたね!
これで黄ばみを気にせず思いっきり笑える自信も手に入れられたと思います。
今後もH様の理想の白さをキープするために全力でサポートさせていただきますので、引き続きよろしくお願いいたします^ ^