【Kiratt 羽村店】ホームホワイトニング経験者も満足!喫煙習慣があっても白い歯を手にできました!
A様 / 40代 / 会社員
| ホワイトニング | 来店経歴 | 施術メニュー |
|---|---|---|
| ホームホワイトニング経験あり | 1年 | クリスタルホワイトニング |
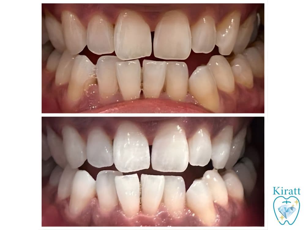
| コーヒー | タバコ | 結果 |
| 3杯 / 1日 | 吸う | S18 → S6 |

Q1.ホワイトニングを始めようと思ったきっかけは何ですか?
以前にホームホワイトニングの経験はありましたが、どうしても気になっていた“歯の根元の黄ばみ”だけは思うように落とせず、鏡を見るたびにモヤモヤした気持ちが残っていました。
「もっとしっかり白くしたい」「自然な透明感のある白さを目指したい」と思い、羽村周辺でホワイトニングサロンを探していたところ、Kiratt羽村店の口コミ評価がとても高く、周りの知人からも「ここは本当に白くなるよ」とすすめられたことが決め手となりました。
実際に問い合わせた際の対応も丁寧で、ここなら安心して通えそうだと感じ、来店を決めました。
Q2.ホワイトニングを始める上で、何か不安なことはありましたか?
過去のホームホワイトニングで“しみる感じ”を経験したことがあったため、「今回も痛みやしみが出たら嫌だな…」という不安は正直ありました。
しかし、初回のカウンセリングでスタッフの方が、施術の流れや薬剤の特徴、しみにくくするためのケア方法まで、丁寧に説明してくれたことで不安が軽減されました。
特に、私の生活習慣(コーヒー・喫煙)に合わせたアドバイスをしていただけたのが心強く、安心して施術をスタートできました。
Q3.当店(キラット)を選ばれた理由はありますか?
一番の理由は、口コミの多さとその内容の信頼性です。
「白さの変化が大きい」「痛くない」「説明が丁寧」という声が多く、自分が求めているホワイトニングに非常に近いと感じました。
さらに、公式サイトやSNSに掲載されていた実際のビフォーアフターがとても分かりやすく、自分の歯もここまで変われるかもしれないと期待が膨らみました。
実際に通ってみて、その口コミが本当だったと実感しています。
Q4.実際に歯が白くなって、どのような生活の変化がありましたか?
以前はコーヒーを飲むたびに「また着色するかもしれない」と気になっていましたが、今は白さをしっかりキープできているので、好きな飲み物を気持ちよく楽しめるようになりました。
職場でも「歯が白くて清潔感あるね」と言ってもらえることが増え、笑顔にも自信が持てるように。
喫煙習慣があってもここまで白さを保てるんだと実感し、今後も定期的に通いたいと思っています。

A様、数あるホワイトニングサロンの中から当店を選んでいただき誠にありがとうございます。
いつもコンスタントに通ってくださっているおかげで、白さのキープ力が非常に安定しており、清潔感がより一層引き立っています。
コーヒーや喫煙の習慣があっても、A様が日々のケアをしっかり行ってくださっているため、とてもきれいな白さを維持できています。
これからも、お好みの白さを一緒にキープしながら、さらに魅力を引き出せるよう精一杯サポートいたします!今後ともよろしくお願いいたします。