【Kiratt 羽村店】学生でも続けやすい!友達から「最近歯白くない?」と言われることが増え、自分に自信がつきました!
F様 / 20代 / 学生
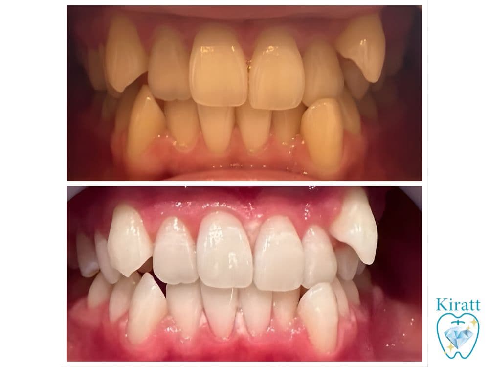
| ホワイトニング | 来店経歴 | 施術メニュー |
|---|---|---|
| はじめて | 1年 | クリスタルホワイトニング |
| コーヒー | タバコ | 結果 |
| 飲まない | 吸わない | S30 → S8 |

Q1.ホワイトニングを始めようと思ったきっかけは何ですか?
以前から、鏡を見るたびに少しずつ蓄積してきた歯の黄ばみが気になっており、写真を撮ったときにも「もう少し白かったら印象が変わるのにな…」と感じていました。
通学の合間に通える、家から近いサロンを探していたところ、Kiratt羽村店を見つけました。
口コミも良く、学生の自分でも続けやすそうな雰囲気を感じたため、「これを機にきちんとケアしよう」と思い、ホワイトニングを始めることにしました。
Q2.ホワイトニングを始める上で、何か不安なことはありましたか?
正直なところ、最初は「本当に白くなるのかな…?」という不安が大きかったです。
初めてのホワイトニングだったため、痛みはあるのか、どのくらいの期間で効果が出るのか、想像がつかない部分も多く、少し勇気が必要でした。
しかし、スタッフの方が事前に丁寧に説明してくださったおかげで安心でき、実際に施術を受けてみると想像していたよりも快適で驚きました。何より、初回からしっかりと白さを実感できたことで、不安はすぐに消えました。
Q3.当店(キラット)を選ばれた理由はありますか?
Kiratt羽村店に決めた一番の理由は、「初回施術でしっかりと効果を実感できたこと」です。
通いやすい立地やサロンの清潔感ももちろん魅力でしたが、それ以上に、目に見える変化を感じられた点が大きな決め手になりました。
また、スタッフさんの対応がとても丁寧で、施術中もリラックスできる空気があり、ここなら安心して継続できると感じました。
Q4.実際に歯が白くなって、どのような生活の変化がありましたか?
歯が白くなってからは、笑顔に自信が持てるようになりました。
友達から「最近歯白くない?」と言われることが増え、自分でも写真写りが明るくなったと感じています。
マスクを外す機会が多い場面でも、以前より堂々と笑えるようになり、気持ちまで前向きになりました。
日常のちょっとした変化ですが、その積み重ねが大きな自信につながっていると感じています。

F様、いつもKiratt羽村店をご利用いただき誠にありがとうございます。
初めてご来店いただいた際は、ホワイトニングへの不安もお持ちだったと思いますが、今ではリラックスして施術を受けていただけているご様子で、スタッフ一同とても嬉しく思っております。
初回からしっかりと白さをご実感いただけたことで、継続して通っていただくきっかけになったと伺い、大変励みになりました。
これからもF様の笑顔がより輝くよう、メンテナンスを通して白さのキープをしっかりとサポートしてまいります。
今後ともよろしくお願いいたします。